о чем нибудь неважном🫡
kistaman1999
о чем нибудь неважном🫡
post image 1
post image 2

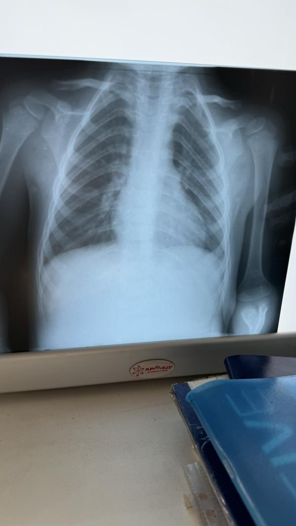
1-фото , когда подтвердили правостороннюю пневмонию

2 фото, когда закончили лечение.

Что на втором фотке? Видно , что прошло пневмония?

Комментарии

aishatik99
Айшат·Мама дочки (9 лет)

Да ,заметно лучше стало

Нравится Ответить
kistaman1999

Да лучше то стало. Альхамдулиллах

Но полностью не прошел как будто)

Остаточный чтоли 🥲

Нравится Ответить
mkol
poiuyt·Мама троих детей

Вы провели лечение полностью ?

Нравится Ответить
kistaman1999

Да)

Нравится Ответить