
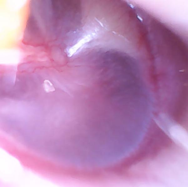
Здравствуйте, это похоже на отит? У ребенка сопли , решила проверить ухо потому что в начале года долго лечили гнойный отит. Смущает белое пятно у правом углу,то гной? Знает кто нибудь?
Завтра конечно к врачу. Но на дворе ночь , хочется сразу знать(



Вот, а кто то выше сомневался в мамской силе😇 Мамы с высоты опыта могут ставить диагнозы в любой сфере🙂 понятно что прием врача необходим. Но и тут вроде бы не официальный медицинский сайт. Все о чем то спрашивают совет. Совершенно в разных сферах
Я уже второй год с палочкой у сына каждые сопли отиты отслеживаю, сразу врачу фото онлайн и красота) ну да, насмотренность тут уже решает, уже сама понимаю, где ещё норма, а где бежать к врачу срочно😅
@123.daria, у вас профиль закрыт) да давайте тут скинуть вдруг кому - то тоже будет нужно
Умная ушная палочка с камерой, отоскоп для чистки ушей и носа с подсветкой и набором силиконовых насадок Roma ссылка
@kovriginasona, а вообще таких там много разных, мы первый раз купили такой , у которого не снимается наконечник. Должен обязательно сниматься . и вот этот уже купили , он отлично подошел
Катаральный отит есть, гноя не вижу. Но слишком близко фото)
Вроде перепонка прозрачная и это главное, когда жидкость- эскудат или тем более гной, она мутная и не прозрачная становится
Какая то краснота по краям смущает, может и норма это. Сама перепонки голубенькая, вроде так и должно быть
Те, кто сталкивался с сильными отитами я уверена в этом ковыряются до мельчайших подробностей🙂
Вы меня, конечно, извините!
Но тут откуда мамы могут знать такое!!!
Это похоже на пиздец)))