


@zaisik, главное успокойся, наслаждайся жизнью и моментом. Не зацикливайся на прошлых неудачах, не делай себе мозг)
В этот раз всё будет по-другому!
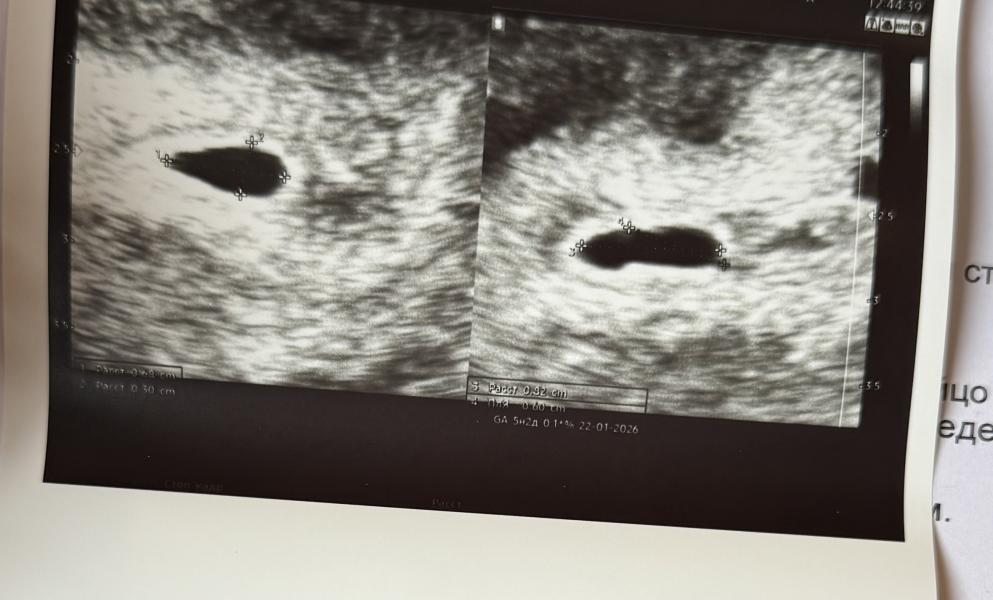
Через неделю или две повторить узи. А пока тихонько радоваться 😊
Уже записалась на пятницу следующую👌🏼я пока боюсь радоваться 🫣мне страшно
По менструации (первый день последних месячных) - акушерский срок, по размерам плодного яйца - эмбриональный (грубо говоря считается от овуляции). Разница между первым днём последних месячных и овуляцией и есть примерно две недели +/-. Поэтому у вас всё прекрасно, можно радоваться.