maryam.stom
maryam.stom
maryam.stom·Мама двоих (4 года, 9 лет)

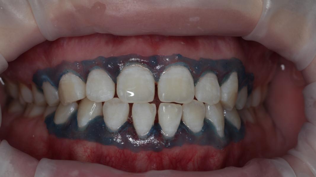
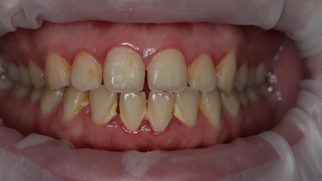
Как прошла наша профчистка и отбеливание? Результат впечатляет!

post image 1
post image 2
post image 3

Девочки привет🫶🏻

Тут мы провели проф чистку🦷

Отбеливание🦷

И наш шикарненький результат😍

23.04.2025

Комментарии

shahru.
🏹🏹🏹·Мама троих детей

@farida_clean, @marina.tsvetok, это же эффект такой у зеркала 🤦🏼‍♂️

23.04.2025 Нравится Ответить
farida_clean
Фарида.·Мама подростка

Это через зеркало снято ?

23.04.2025 Нравится Ответить
maryam.stom
maryam.stom·Мама двоих (4 года, 9 лет)

@farida_clean, ага)

23.04.2025 Нравится Ответить
farida_clean
Фарида.·Мама подростка

@maryam.stom, Извините .

23.04.2025 Нравится Ответить