Твой Стоматолог 🦷
dr.zub
Твой Стоматолог 🦷 ·Мама двоих (младенец)
post image

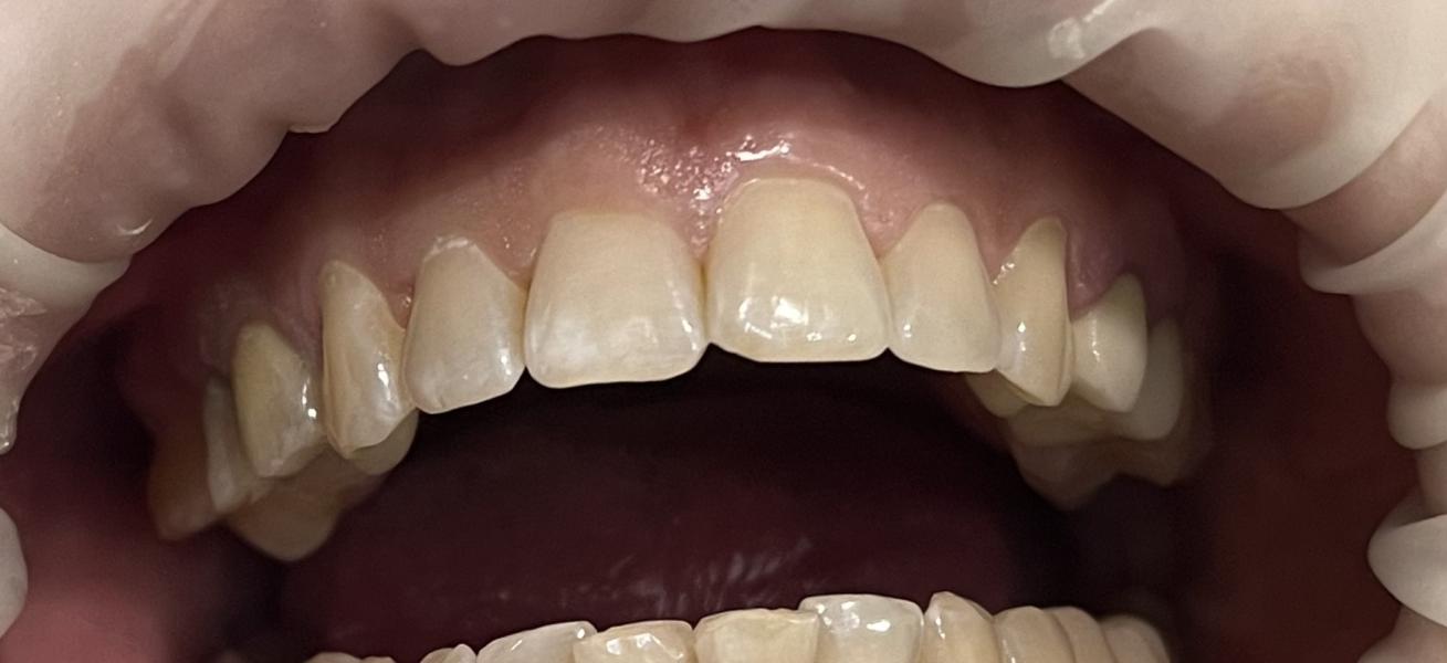
Кто угадает ,где металлокерамика ,а где циркон ?)

19.04.2025
1

Комментарии

marxa714
Marxa·Мама троих детей

Сколько будет стоить коронка металлокерамика на передние 2 зуба ?

03.10.2025 Нравится Ответить
dr.zub
Твой Стоматолог 🦷 ·Мама двоих (младенец)

Я не в чечне пока ❤️

03.10.2025 Нравится Ответить
marxa714
Marxa·Мама троих детей

@dr.zub, ааа , хорошо ❤️

03.10.2025 Нравится Ответить
polz
Лулу ❤️·Мама двоих (1 год, 5 лет)

Вы в июле будете в Саратове ?

19.04.2025 Нравится Ответить
dr.zub
Твой Стоматолог 🦷 ·Мама двоих (младенец)

Смотря в каких числах , планируется отпуск

19.04.2025 Нравится Ответить
dr.zub
Твой Стоматолог 🦷 ·Мама двоих (младенец)
стикер
19.04.2025 Нравится Ответить
opalipo

На передних двух зубах или во всём рту?

19.04.2025 Нравится Ответить
dr.zub
Твой Стоматолог 🦷 ·Мама двоих (младенец)

Из всех Зубов ))

19.04.2025 Нравится Ответить