maryam.stom
maryam.stom
maryam.stom·Мама двоих (4 года, 9 лет)

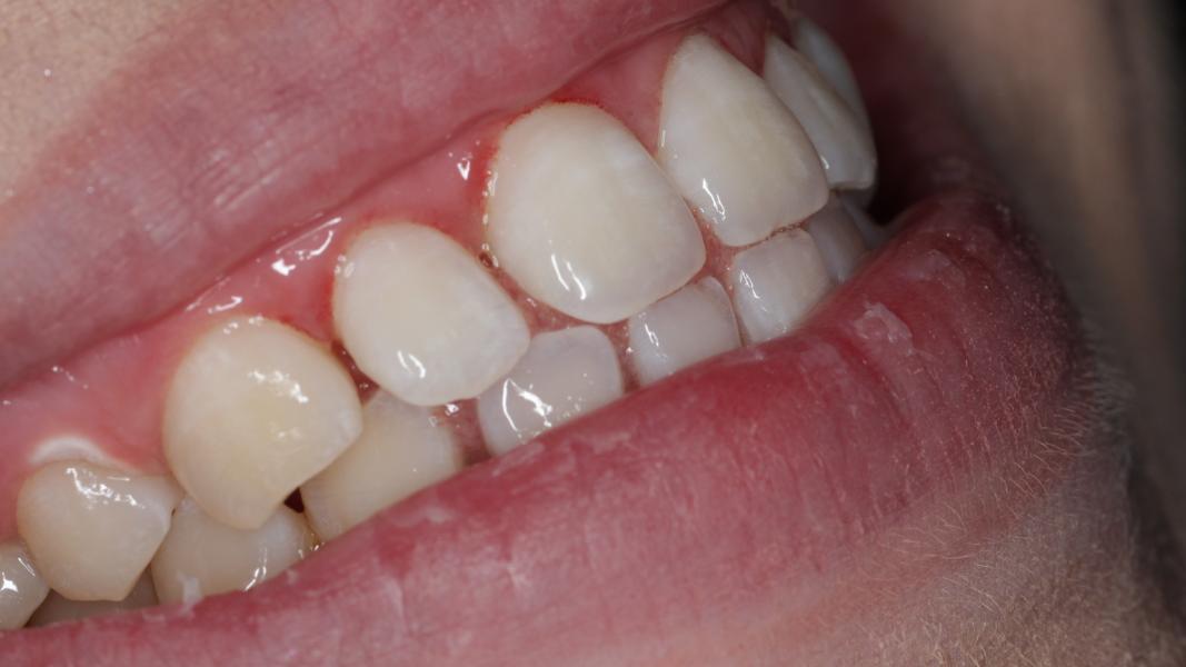
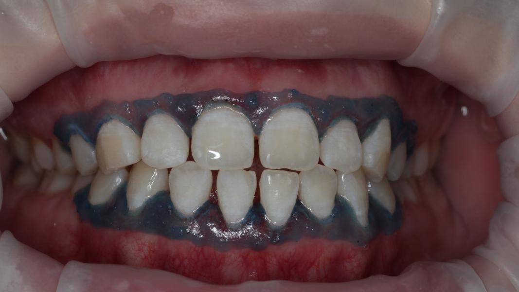
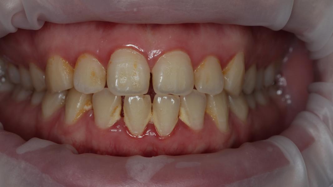
Запись на проф.чистку и отбеливание зубов завтра свободна! Смотрите результат!

post image 1
post image 2
post image 3

Девочки🫶🏻

Возобновляю запись🫶🏻

На завтра есть свободные окошки

Тут мы провели проф чистку🦷+отбеливание🦷

И наш шикарный результат😍

02.04.2025
2

Комментарии

sane

Где принимаете ?

02.04.2025 Нравится Ответить
maryam.stom
maryam.stom·Мама двоих (4 года, 9 лет)

Танкаева 15 район цума

02.04.2025 Нравится Ответить