maryam.stom
maryam.stom
maryam.stom·Мама двоих (4 года, 9 лет)

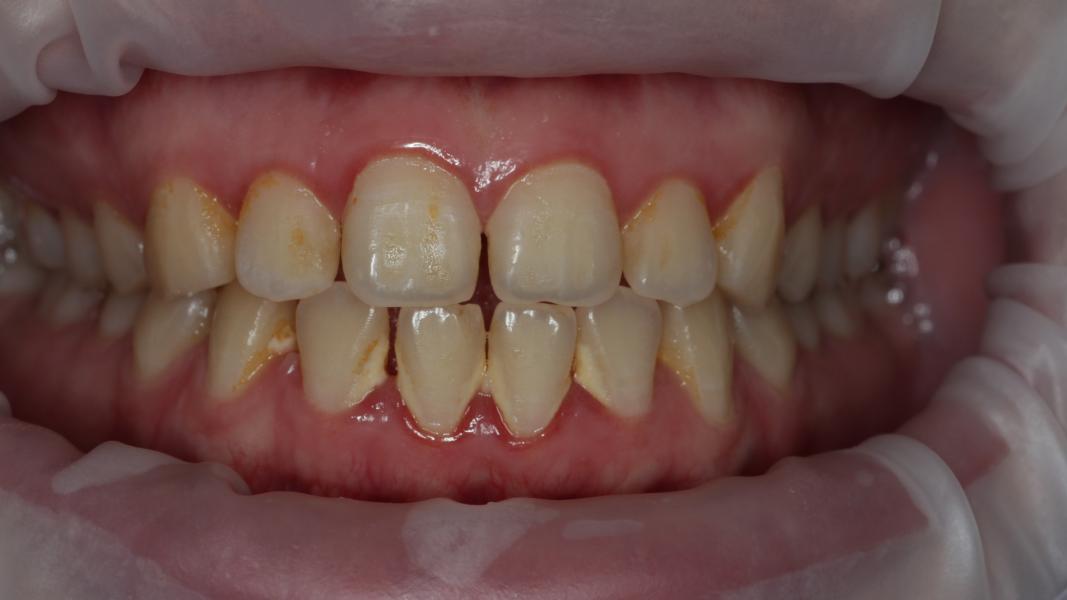
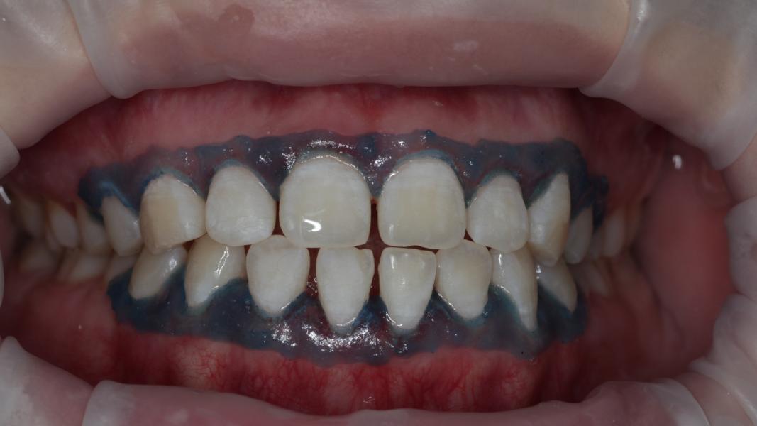
Проф чистка зубов и отбеливание: Смотрите наш крутой результат! Что мы сделали и как?

post image 1
post image 2
post image 3

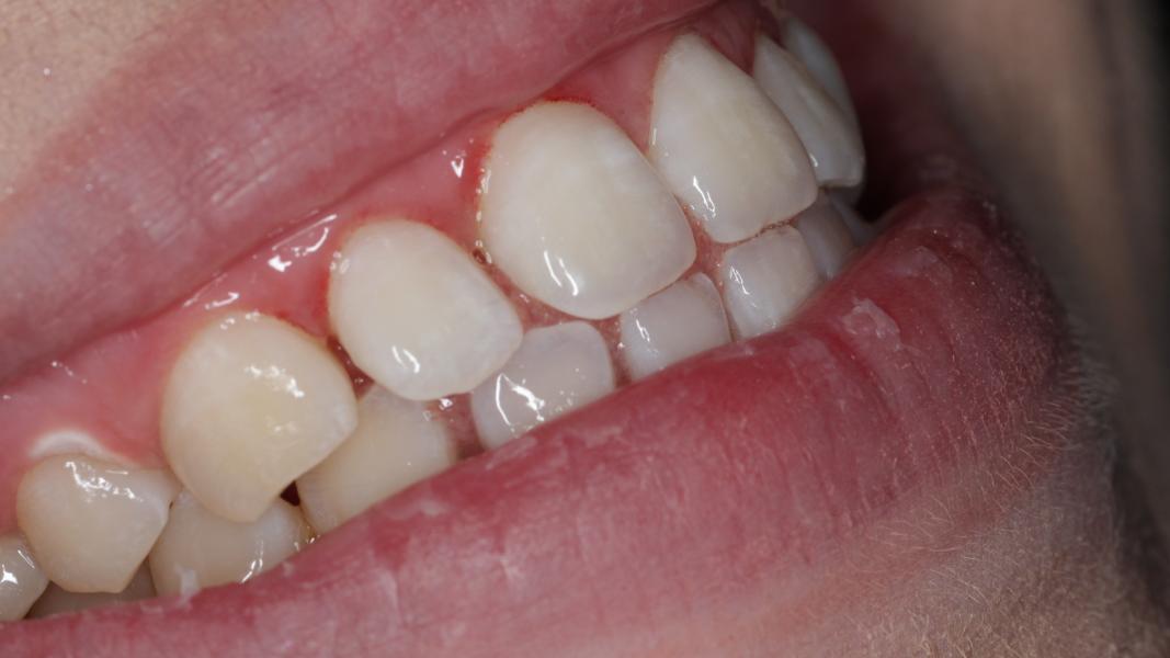
Проф чистка+отбеливание🦷

И наш крутой результат😍

22.03.2025
2

Комментарии

aminaa.alievaa2022
Aminat·Мама дочки (1 год)

После Рамазана месяца , не будет акции ?🫣

25.03.2025 Нравится Ответить
maryam.stom
maryam.stom·Мама двоих (4 года, 9 лет)

Пока ничего не могу сказать )

25.03.2025 Нравится Ответить