doc.mustafaeva
mustafaeva.sg
doc.mustafaeva

Как исправить прикус в 2 этапа: АЛФ и брекеты?

post image 1
post image 2
post image 3
post image 3
post image 4
post image 5

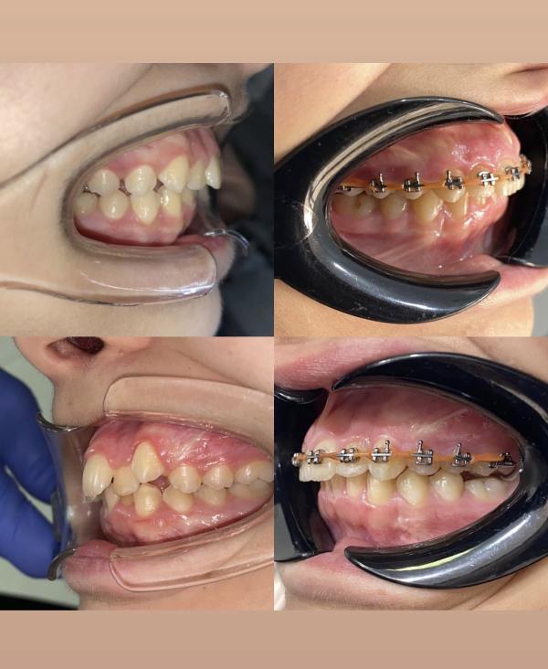
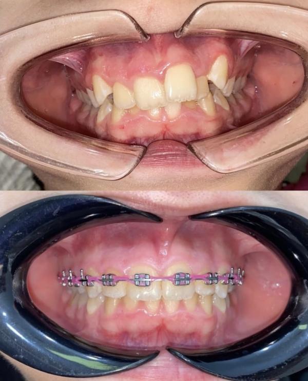
Двух этапное лечение. На первом этапе планировалось развитие костной базы аппаратом АЛФ, вторым этапом перешли на коррекцию контактов на брекет системе

16.01.2025
11

Комментарии

massage_kasp
massage.05_·Мама двоих (6 лет, 7 лет)

Вы в Каспийске принимаете ?

20.04.2025 Нравится Ответить
mustafaeva.sg

Здравствуйте. Нет , в Махачкале

24.04.2025 Нравится Ответить
massage_kasp
massage.05_·Мама двоих (6 лет, 7 лет)

Здравствуйте

20.04.2025 Нравится Ответить