Узист Роза
uzist__roza
Узист Роза ·Многодетная мама (6 детей)

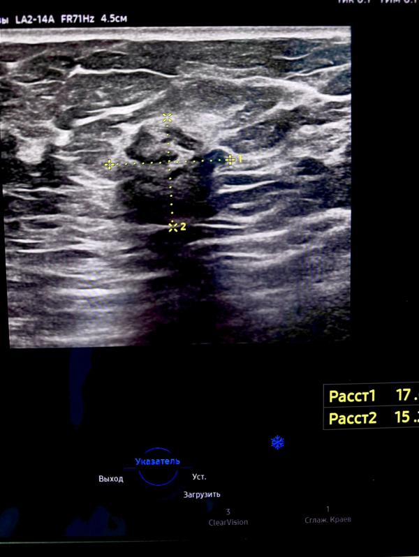
ЗНО левой молочной железы у женщины 44 лет: что это значит, результаты проф. осмотра и дальнейшие действия?

post image

Женщина 44г , проходила проф осмотр, жалоб никаких не предъявляет!

Заключение: ЗНО левой молочной железы!🙏🏻

04.12.2024
11

Комментарии

dozaradosti
дог диллхира …·Мама троих детей, ждёт четвёртого

Обычно ишт лозш ца хилч Дик дац ол и,хаа ца ло такх ху ду😭🥺

04.12.2024 Нравится Ответить