Калимка Адиева
solnce_lyutoe
Калимка Адиева·Мама двоих (6 лет, 9 лет)

Как ухаживать за зубами после родов? Советы мамочкам

post image

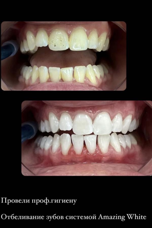
Девочки , записывайтесь на чистку и отбеливание , ведь улыбка это ваше лицо 😉

14.11.2024
2

Комментарии

azaliya555
Айлана·Мама дочки (4 года)

Цена

14.11.2024 Нравится Ответить
solnce_lyutoe
Калимка Адиева·Мама двоих (6 лет, 9 лет)

Отбеливание 6 т, чистка 3500

14.11.2024 Нравится Ответить
azaliya555
Айлана·Мама дочки (4 года)

@solnce_lyutoe в Хасе не бываете?

14.11.2024 Нравится Ответить
solnce_lyutoe
Калимка Адиева·Мама двоих (6 лет, 9 лет)

@azaliya555, нет, приезжайте в Махачкалу ☺️

14.11.2024 Нравится Ответить
madina.mamedova1417
Мадина ·Мама четверых детей

Здравствуйте , где можно сделать ?скоро снимать будут Брекеты ,хотела бы знать

14.11.2024 Нравится Ответить
solnce_lyutoe
Калимка Адиева·Мама двоих (6 лет, 9 лет)

Добрый день

Стоматология Добро, Горького 23🧚🏻‍♂️

14.11.2024 Нравится Ответить
zainabmagonedova
Zainab Magomedova·Мама двоих (3 года, 5 лет)

Сколько стоит?

14.11.2024 Нравится Ответить
solnce_lyutoe
Калимка Адиева·Мама двоих (6 лет, 9 лет)

Здравствуйте

Отбеливание 6 т, чистка 3500

14.11.2024 Нравится Ответить