


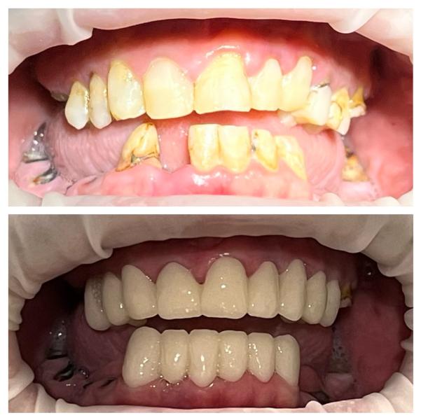
Всем привет. Одна из последних работ в этом году. Жаль я не могу выложить эмоции пациента 😁Топчик. 2 коллаж ,сверху фото это до ,коронки,которые выпадали в руки 😄3 коллаж ,верхнее фото , когда мы их убрали и я восстановила зубы для дальнейшего препарирования)) Ну и итог. Конечно работу немного утяжелило врожденное отсутствие боковых резцов + сместившийся прикус ,но теперь за счет однородности конструкции это не так бросается в глаза. 1 фото диалог с техником ,он у меня правда волшебник 🧚♂️Коронки -циркон )



@inkoxnito, смотря что во рту конечно , суммы не знаю ) самый оптимальный вариант если со своими зубами совсем все плохо 4-6- имплантов ,и временный протез одевают ,потом меняют на постоянный через пол года , в инсте есть один Умар стоматолог по-моему, у него 2млн подписчиков , многие к нему обращаются ,но на счет цен не знаю
@dr.zub, да я его видела тоже…. Спасибо большое за ответы и информацию ♥️😎
@inkoxnito, импланты это не больно, но дорого. У меня был прекрасный хирург.
А можно узнать цену этой работы?
14т единичка ,но после нг скорее всего будет 15т .
@dr.zub, что значит единичка? Это один зубик? 😂😂
@inkoxnito, да ,1 зуб ,по привычке пишу как мы с техником общаемся 😂😅
Еще не итог ,в ближайшее время удаление и протезы(пока что)🤭
Но ,кстати ,есть варианты разных протезов . Тут не тот контингент чтобы о них рассказывать,если кому то требуется ,то лично )
У пациента внизу жевательных вообще не было? Или во время лечения удалены они?