
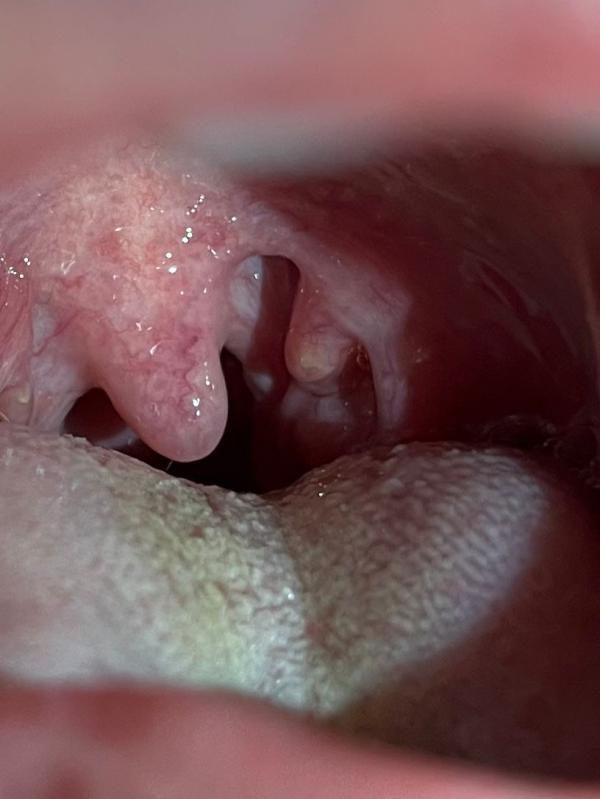
О чем говорит такое горло? Да, это горло ребенка с непрерывным кашлем и болью в горле! Но обратите внимание на налет на языке- дренажный препарат и в течении 2 суток ребенок здоров! К сожалению, наш жкт не привык к современной пище и пытается хоть как то избавиться от токсинов, если мы его не слышим- начинает заболевать