Девочки из Новороссийска, меня видно у вас в ленте?)
Похвалите пожалуйста клинику/специалиста, где можно пройти третий скрининг?)



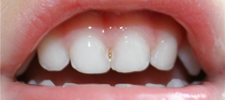
Впервые лечили Жене зубки 🙂
Вспоминая первое лечение Ярика ,я очковала вести дочку 🤪
Потому что он так орал первые разы ,приходилось его держать ,что бы не откусил палец .а во второй поход к стоматологу я отправила папу .
А Евгеша вообще спокойно сидела самостоятельно .Поставили пломбу ,другой зуб под наблюдением .
И вот какой совет я хотела спросить 🙋♀️
Третье фото .у Жени такая же дырочка .
Стоматолог предложила через пол года придти и посмотреть на состояние ,либо придти раньше если увижу уху...

Дочь решила , что утро сегодня должно начаться в 3
К слову такое «явление🥴» довольно частое за этот месяц от рождения
Помню писала тут пост на тему того, что дочь в утробе активизируется глубоко ночью исключительно
Редко днем и не сильно активно
И было интересно , какова вероятность того , что мне придет кабзда родив
Учитывая , что я сова 🦉😴
Сейчас еще и старшенький дома, который жаворонок и в 7 утра как штык «доброе утро! Я выспался🙂»
Так вот
Получите - распишитесь , маменька🤡
Еле живая...

Я впервые, наверное, к вам за поддержкой. Вы наверняка помните мою бабушку, я часто пишу про нее, потому что она очень классная и я её обожаю. Но несмотря на клевый внешний вид, у нее начались большие проблемы со здоровьем. Она постепенно теряет зрение, левый глаз уже не видит совсем. Сегодня очередной врач подтвердил, что скоро она ослепнет окончательно и с этим ничего нельзя сделать. Я не могу принять это и пережить, реву и очень хочу помочь ей хоть как-то, но кажется, вариантов лечения и прав...
Видно)
Медичи - Баиндурова, очень понравилась, тщательно смотрит и всё рассказывает
Фамилия - Шалхин, тоже была у неё, хорошо все показала, рассказала