Olga D
olholy
Olga D·Мама двоих (2 года, 5 лет)

Кариес у ребенка: опыт лечения в Aldent у Жанар Советовны, советую!

post image

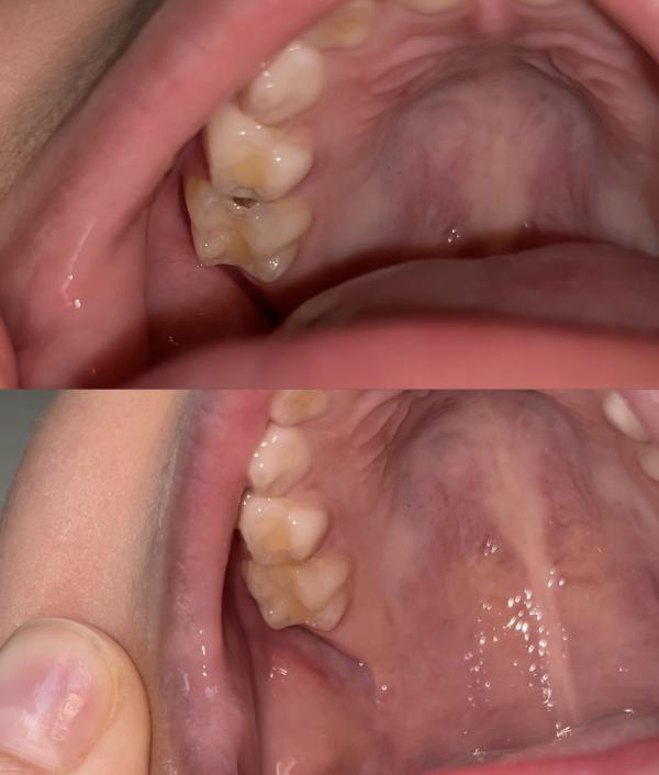
С утра заметила такую черную дырень у сына) сразу записались в Aldent к Жанар Советовне.

До это лечили у нее полгода назад два нижних жевательных зуба.

Тогда я держала его на кресле, сегодня сынок зашел сам уселся, пока я на ресепшене была😅 лечили без моего присутствия, без анестезии. Сразу два зубика сделали, кариес был контактный, быстро распространился.

Отдали 16 тыс, за два зубика

Советую👍🏻👍🏻

И заглядывайте в рот детишкам почаще😄

С рождением младшей редко стали чистить зубки сыну, хорошо заметила😄

03.06.2024
41

Комментарии

lilly2022
Lilly·Мама двоих (2 года, 7 лет)

Обожаю ее. У меня сын тоже спокойно идет к ней и еще говорит Вы мне не давайте раскраску лучше колечко в садике девчатам отдам 😂

03.06.2024 Нравится Ответить
meru93
Мика·Мама двоих (2 года, 4 года)

Спасибо больше за пост, как раз искала такого стоматолога 💞💞💞💞💞

03.06.2024 Нравится Ответить
my_baby2016
Super mom·Мама троих детей

Цена супер, а доктор опытный?

Я около дома лечила старшему за два зуба 28 отдала, среднему за один зуб 19 отдала 🫣

03.06.2024 Нравится Ответить
lilly2022
Lilly·Мама двоих (2 года, 7 лет)

Очень опытный

03.06.2024 Нравится Ответить
olholy
Olga D·Мама двоих (2 года, 5 лет)

Да, я тут ее нашла по отзывам)

Знаю много историй где лечили за 600 тыс под севораном в известных клиниках и все отвалилось через полгода-год.

У этого врача держится до выпадения зубов) Хотя там пломбы не световые 😅 не знаю, как она это делает) но врач прям приятный, подход находит к ребенку)

03.06.2024 Нравится Ответить
taurus10
itsme·Мама троих детей

У старшей такой же кариес, боюсь вести ее к стоматологу, крайний раз весь процесс лечения плакала, но тогда ей было примерно как вашему сыну

03.06.2024 Нравится Ответить