Елена
pavlushalena
Елена·Мама двоих (младенец)

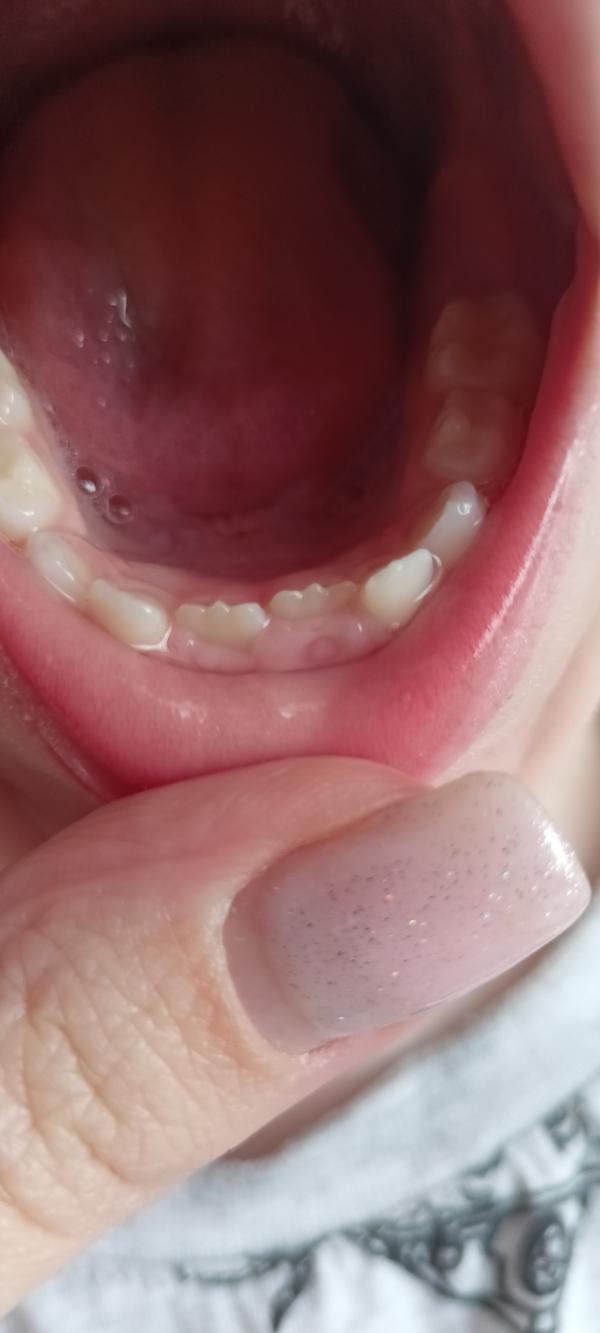
Лезут коренные зубы, мало места: что делать?

post image

Девочки, подскажите у кого так было? Лезут коренные зубы, но им мало места. Что-то нужно делать с этим на данном этапе, чтобы избежать кривизну.

20.04.2024
1

Комментарии

krohka-enot
Анюта·Мама двоих (7 лет, 9 лет)

Мы пластинку сыну поставили когда по 4 зуба центральных выпали для расширения, к ортодонту на консультацию ходили к 7 годам

20.04.2024 Нравится Ответить
m__marina
Марина·Мама двоих (2 года, 9 лет)

Сходить на консультацию к ортодонту

20.04.2024 Нравится Ответить
dv_radost
Даша·Мама двоих (2 года, 9 лет)

нормально) выровняются) языком потом выталкает)

у нас так же было))

20.04.2024 Нравится Ответить