


99% родителей этого боятся😓
Но чаще всего страх перед лечением во сне лежит в области незнания особенностей, действия на организм, квалификации врачей и прочее!
Во-первых, если есть хоть маленький шанс обойтись без этого метода, поверьте - мы его используем!
Во-вторых, есть совершенно чёткие показания к лечению во сне. И хорошо что такая возможность есть🙌🏻
К показаниям относятся:
✔️«Особые дети»
✔️ Возраст детей от 0 до 3 лет
✔️Большое количество зубов, которые необходимо лечить
✔️Взрослые, страдающие стоматофобией (это не просто боязнь, а невыносимый ужас и паника при мысли что нужно лечить зубы)
✔️Аллергия на препараты, которые применяются для местной анестезии
❗️Лечение может проводится только после тщательного обследования общего состояния здоровья.
Если вы прошли обследование и противопоказаний не выявлено, то назначается день лечения.
Помимо врача стоматолога, присутствует:
👍🏻Бригада профессиональных анестезиологов - реаниматологов.
👍🏻Проводится полнейший мониторинг состояния и всех жизненных показателей состояния на наркозной станции «Dräger».
👍🏻Используется самый безопасный препарат на сегодняшний день - севоран.
И вот зубки вылечены, состояние у ребёнка в течение 1-2 часов будет сонным, поэтому у нас есть очень уютная реабилитационная детская, в которой можно никуда не спеша, полежать и отдохнуть в тишине и спокойно войти в обычный ритм жизни🥰
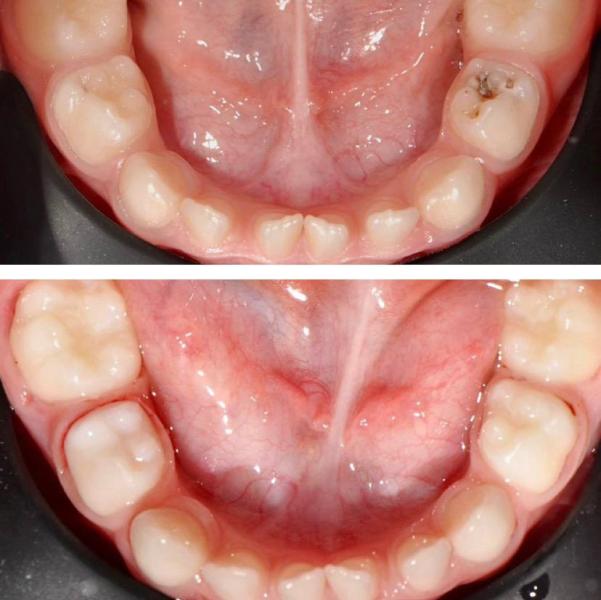
На фото большой труд и великолепный результат Петровой Татьяны Дмитриевны, руководителя детского отделения нашей клиники Iceberg с опытом работы более 8 лет!
На все ваши вопросы с удовольствием отвечаем в комментариях👇🏻
А если вы хотите узнать, подходит ли вам лечение во сне - воспользуйтесь бесплатной online-консультацией по ссылке:
ссылка
B2%D1%83%D0%B9%D1%8
Это может быть обычная нехватка витаминов. Сестра с малышом мучается, зубы высыпается, сделать толком не могут ничего, просто вырывают, там чистить нечего, вечный стоматит и кисты... Сказали что это мать не до дала микроэлементы, а сейчас ничего не помогает...
@pakalados19.y, я просто знаю ребенка у которого весь рот как на фото, и мама ничего не делает, и знаю у которой у малыша сыпятся зубы, и там мама ездит по врачам чтобы помочь всячески и сделать все что возможно в такой ситуации сделать..
Это ж как надо не любить своего ребенка чтобы до такого допустить??????просто кошмар!