
👋🏻👋🏻уолун тииьэ маннык буолбут ессе дьеле сиэбит икки инники тииьэ🤦🏻♀️ стоматологка кердербуппун ничего страшного молочные бытта диэбитэ.Фторирование игин диэннэрин хас саастарыттан онороллоруй?1,5 сааспын аны 8 эрэ тистээхпит это нормально да?



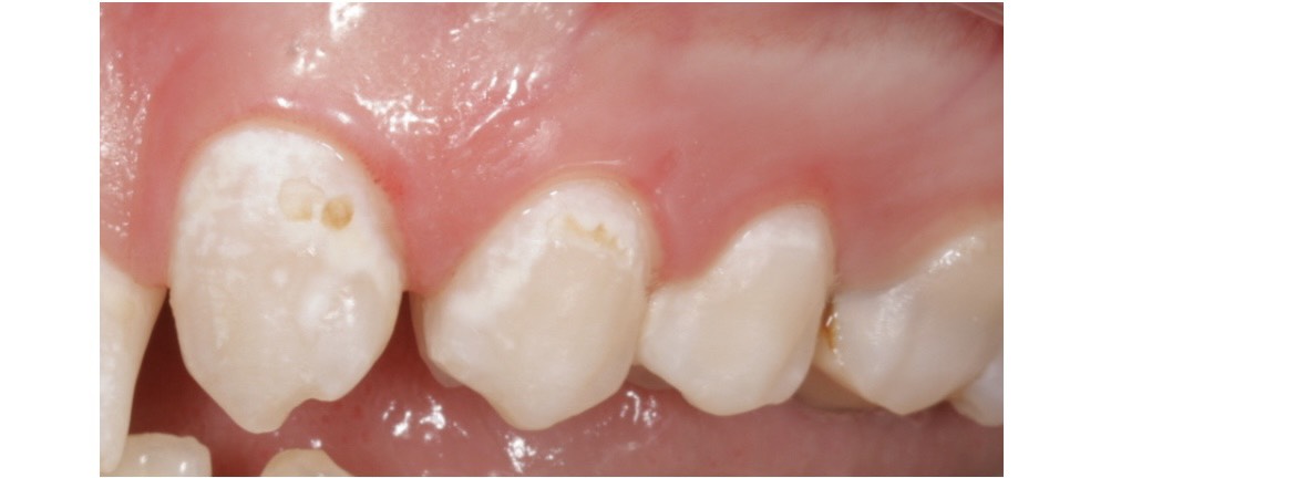
У нас тоже инник сагаламмыта и всего то 8 Зубов и теперь из них 4 верхние ужасный кариес 😥 вот собираемся под наркозом лечить
У всех всё индивидуально буо, тиис тахсара. Багар бу олох соторуннан резко барыта тахсан кэлиэ дии👍🏼 биьиэхх ер багайы сылдьан баран в один момент олох друг за другом тахсыбыттара зубы. Онон думаю нормально))
С первых зубов чистить, а так у нас в 1,5 17 зубов
Чистить должны по идее, у нас так начался потом все чёрным стало 🥲
@ban22 имела ввиду стоматологи должны были почистить 😅 у меня подруга такой налёт у сына специально в стоматологии чистит😶
@ban22 лучше наверное в другую стоматологию сходить🤔
Мин кыыьым тииьэ эмиэ инник🙆🏻♀️ саатар ГВыбыт🤭 быраха иликпит, уолум 2,5 дылы эмпитэ да тииспит инник буолбатага🤷🏻♀️ кыыьым киэнэ бэйэм курдук кэбирэх бьлх🥲