


Заметка:
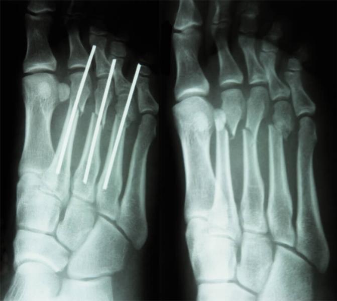
Арлан - 3.2 года
Перелом 2, 3, 4 плюсневых костей левой стопы
Гипс 23.01.2024 г.



@sabirova_boss, кажется пора выкинуть эту кроватку. Как в итоге зажили пальчики? Как сейчас? Я просто в поисковике наткнулась,сестра тоже как месяц сломала плюсневые кости. Прошел месяц и не видим улучшений(
@mallysoon, зажили да, срослись вместе обратно 🙏 Сейчас хорошо тьфу тьфу тьфу. У детей кости быстро восстанавливаются говорят. Мы запретили детям залазить на кровать, но да к лету уже собираемся делать ремонт и менять кровать. Потому что растет самый младший сын и еще малышка скоро будет.
@sabirova_boss, 😳 бедный, во время сна или игрался? Скорейшего восстановления
@olenka_sutulina, игрались так 🤦🏻♀️ спасибо 🙏
Здравствуйте как быстро восстановились ?