

В течении 4 дней девушку беспокоили боли. Не могли установить причину.
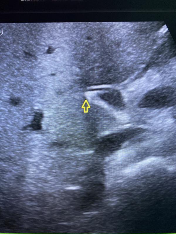
Камень в холедохе ( в общем жёлчном протоке).
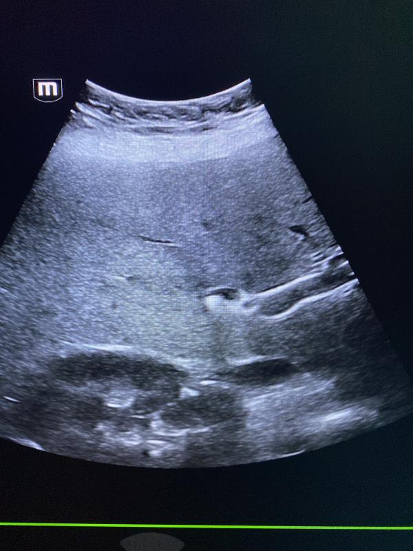
Дополнительно реактивные изменения в поджелудочной железе.
Камень указан стрелкой.
Жёлчный пузырь удален 3 года назад.



Подскажите
Второй раз за 2 недели еду удалять камень из холедохе я прошу и удалить мне желчный а они говорят надо месяц ждать за месяц опять камень упадёт что делать?
У нас не назначают терапию после удаления жёлчного, оттуда повторные операции.
Пациенты остаются один на один со своей проблемой. Реабилитации нет, коррекции питания нет, ничего нет.
Особенно касается пациентов после бариатрии ( уменьшения желудка)
В данном случае пациентка мучалась от боли, неоднократно проводили узи в стационарах города , заключение не выдавали 🤕. Хирурги требовали заключение УЗИ .
После удаления камня , предстоит восстанавливать работу поджелудочной железы