Здравствуйте! Подскажите, от сиропа бронхипрет у деток моча не менялась?
Всем добрый вечер!
Может кто-то сталкивался с ситуацией...
17.10.2023 было вынесено решение суда по алиментам, чтобы бывший муж платил 10 тыс ежемесячно на сына. Алименты назначены в твёрдой денежной сумме. Уже получен и направлен приставам исполнительный лист.
И вот сегодня приходит письмо от него, в письме аппеляционная жалоба, где указано, что он не согласен с решением, что он весь такой больной, хромой и несчастный. И что у него бедного зарплата 14 000 рублей в месяц, типа как он будет жить ...
Подскажите что от сильного кашля, боли в горле, сухости в носу и горле
Анальгин+парацетамол темп особо не сбивают
Ибупрофен тоже
Увлажнитель не помогает от сухости и насморка
Забрели всей семьей
Сначала брат с темп 38-39 и горлом с кашлем(идет 5-6 день)
И мы втроем я муж и бабушка третий день сильный кашель, не исчезающая темп 38-39.3 (редко когда доходит до 37.5)
Нос то заложен то течет
Сухость
Голова болит ужасно не переставая
И кашель адский до рвоты
К брату приходил врач брал тесты на ковид...






Следующие фотки не для слабонервных, имейте в виду🫶
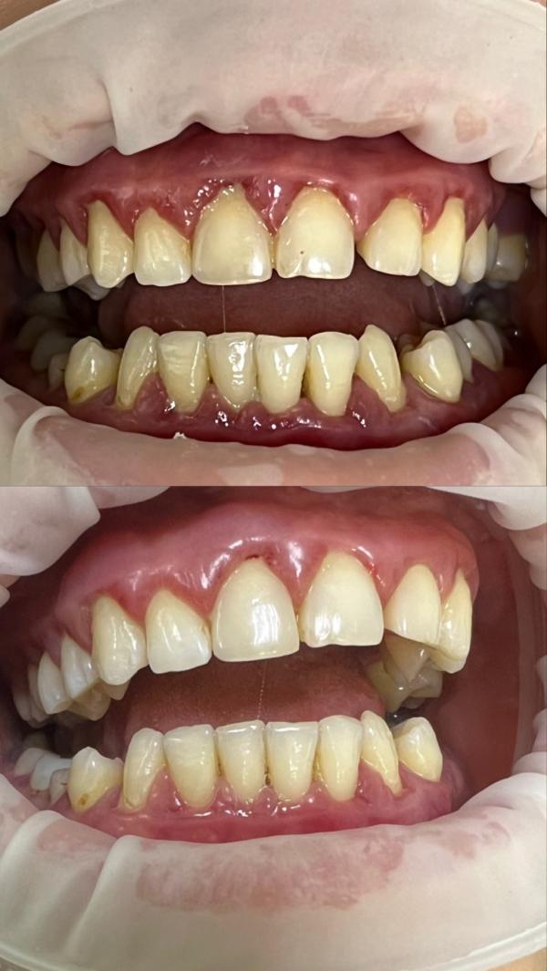
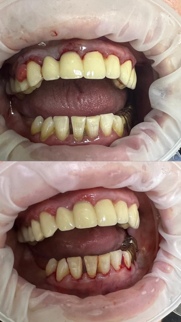
Такс, пока есть свободное время, хотела расписать такой важный момент для пациентов, имеющих проблемы с деснами.
Как определить, что есть проблема с десной?
1.кровоточивость
2.неприятный запах изо рта
3.отек и увеличение десны
Заболевания десен лечит врач Пародонтолог-коим я являюсь)
Следующий момент:
Я не лечу десны уколами плазмы(плазмолифтинг), витаминов, траумеля и всего в этом роде
Потому что нет доказательной базы в этом
И мое мнение, чт...