Асият Магомедзагировна
asiyat.kurbanova.1985
Асият Магомедзагировна

Эндометриоидная киста до 6 см и планирование беременности: МЦ Авиценна, Гоголя 12б, как быть?

post image 1
post image 2

27.11.2023 на приёме в МЦ Авиценна Гоголя 12 б второй проезд

с 10 до 17

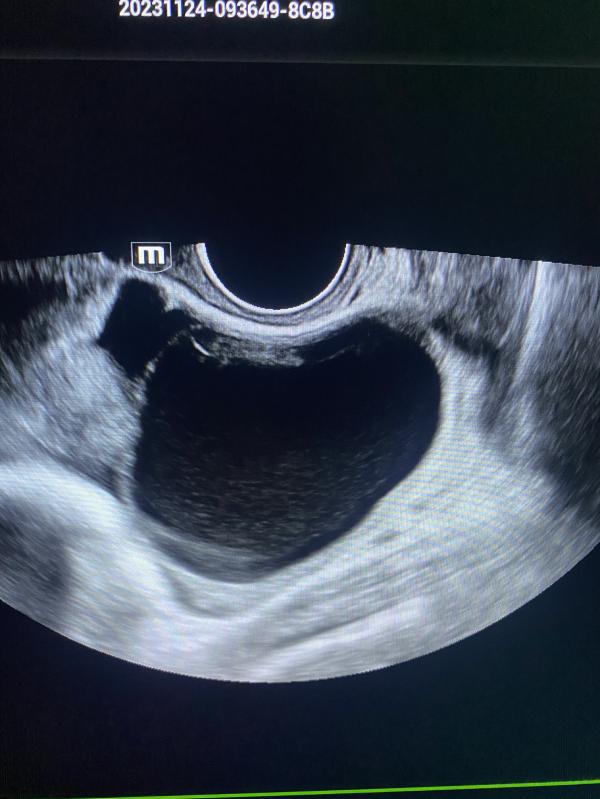
На первом фото эндометриоидная киста до 6 см , в данном случае планируем беременность, так после операции есть риски снижения овариального резерва.

26.11.2023
1

Комментариев ещё никто не написал.