Девочки, где можно заказать тортик, чтобы и сыну можно? Максимально пп 😇😀
Девочки всем привет! У кого муж кармический партнер? Как прошли отработку? У меня муж кармический партнер((. Замужем 10 лет. Вышла спонтанно(залет). Всегда одни и те же проблемы, проблема с беременностью, 8 потерь ребенка..Сейчас поняла что стала созависимой(. Уходить, полностью развестись не можем.. частые ссоры, оскорбление, итд. До замужество гулял, до сих пор по проституткам шляется, либо общается на стороне. У кого был такой опыт? Как пройти урок? Как отработать? Полностью себя потеряла, д...



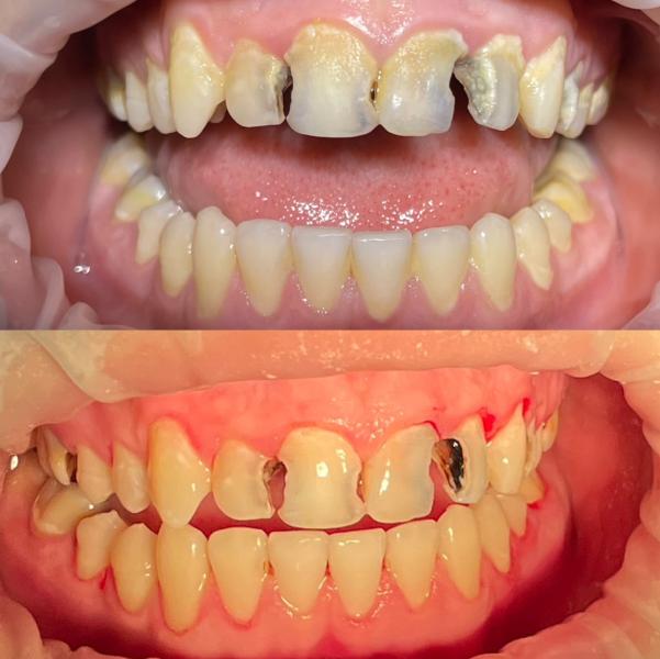
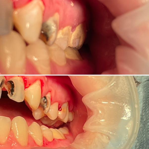
Брезгливым не листать ❌❌❌
Пациент 16лет,мама впервые привела к стоматологу,в полости рта очень плачевное состояние,объяснила маме все,расписала лечение провела проф гигиену(убрала весь налет и камни)
Далее мама отказалась от лечения,говоря что это очень дорого
Что я могу тут сказать?Мне очень жаль мальчика..их лечение не обходилось бы им в такую сумму,если бы она приводила его 2раза в год на санацию,очень надеюсь что они не оставят все так и будут лечить хотя бы один/два зуба в месяц
Девочки...
Вопрос: занятые девочки или те у кого есть возможность…,,
Вы не думали о моменте такой помощи: не знаю как правильно назвать….
Но у меня мысль найти человека, который будет помогать с определенными вопросами: к примеру с заказами озон/валберис и т.п. с простором детских и групповых чатов и выемкой от туда нужной информации, какими-то другими подобными вопросами.
Касательно загрузки сложно спланировать, так как активность детских чатов непрогнозируемая…
У кого есть подобная помощь не «в про...
ссылка