

Сегодня у нас 9 годовщина брака( я и забыла)❤️🔥
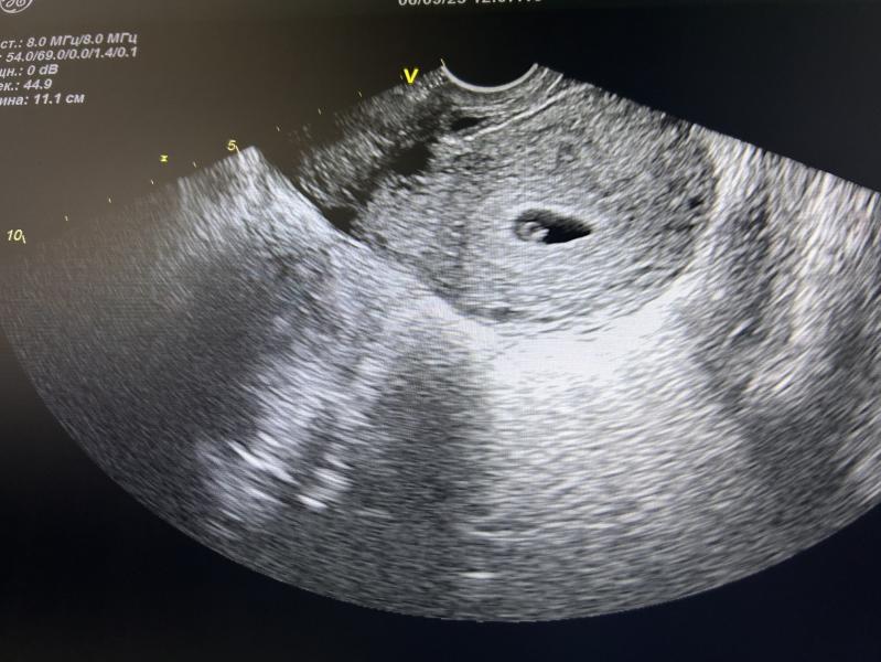
И сегодня на УЗИ эмбрион уже визуализируется(черная черточка в светлом желточном мешочке),сердцебиение есть. Желтое тело второй раз уже восторгает врача😅 по самочувствию не понятно,возможно появился токсикоз: иногда легкая тошнота( может и от голода), грудь чувствительна,иногда бросает то в жар,то в холод.
Так у меня же стоит срок) 6,3 н. 45 дц и 15 день задержки. Эмбрион соответствует сроку
У меня вот 40 день и 10 дней задержки, тоже жду когда можно пойти на узи и увидеть и услышать все что нужно 😅 последний раз ходила 2 сентября, там было небольшое пя и узист еще написала в заключении что оно деформированно, но не расстраиваюсь, верю что все хорошо) на следующей неделе тоже пойду на узи
А вас поздравляю 🥳
Спасибо ☺️я была 28 числа на узи,тогда увидели плодное яйцо и зачатки желточного мешка.
То,что яйцо деформировано - не страшно,матка мышечный орган и естественное из за ее сокращении и яйцо меняет форму
@eileen03_89, я себя сначала накрутила, расстроилась, потом тут у девочек спросила, в интернете почитала информацию и успокоилась
Просто в первую беременность я на 5 день задержки пошла на узи и там уже было видно плодное яйцо, следующее узи я пошла делать в 7 недель
А тут пошла на 7 день задержки и толком не услышала внятного ничего, есть беременность или нет, но она показала на мониторе маленькую точку, я хотела снимок этой маленькой точки, потому что всегда все храню 😅 а в ответ еще и выслушала что нельзя о беременности и ребенке никому говорить пока ребенку 40 дней не будет 🤦♀️ короче для меня это был стресс
Решила подождать как минимум 1-1,5 недели и пойти еще раз, но уже в другую клинику)
А на каком сроки сейчас уже все появилось ?