Макка
blog.makku
Макка·Мама троих детей

Лечение зубов детей

post image

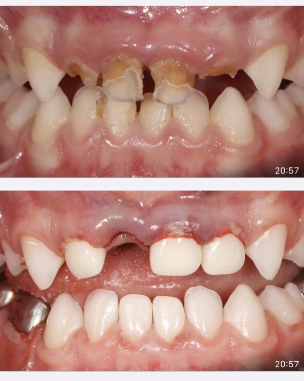
Первое фото до второе после !😁

Это у младшего , еще старшему сделали зубы но уже жевательные , под седаций , с Майкопа поехала аш в Махачкалу и там сделали 😁😅 там выходило дешевле чем в Краснодаре , вылечили 15 Зубов 60.500 р плюс анализы сдавала на 10 т полтора года откладывала , а зря , чем раньше тем лучше 🤪 все кому не лень говорили мол молочные выпадут ненужно их лечить , выпадут ) но я стояла на своем и не зря ☺️ но старшего ушло 30.300 р ему вылечили 6 жевательных и 2 удалили …

18.05.2023
3

Комментарии

yulia24816
Kryzhanovskaya·Мама двоих (6 лет, 9 лет)

Оставьте мне пожалуйста ссылку на их инсту в Махе

28.05.2023 Нравится Ответить
krasotka.de2

@roiiyus, @taisa99_9, нужно чистить зубы желательно после каждого кормления, а обязательно после завтрака и перед сном. Чистить нужно маме,вычищая каждый зуб,а не так ,чтобы два раза щеткой прошлась.

Ночных кормлений не должно быть после появления первого зуба

18.05.2023 Нравится Ответить
blog.makku
Макка·Мама троих детей

@scolzkaya_mochalka, и что делать с этим ? На постоянные зубы перейдет это ? 🥺

18.05.2023 Нравится Ответить
giovanna.preciosa
Sarkasmus provayder ·Мама троих детей

@blog.makku если лечить, соблюдать гигиену, не должно. У золовкиных в 2 года уже все передние сгнившие были. Сейчас им 11-12 лет, постоянные зубы здоровые и ровные, хотя я ожидала худшего. Там было вообще страшно в рот смотреть.

18.05.2023 Нравится Ответить
liachee
Lch·Мама троих детей

Я так сильно не чистила зубы своим ,каждый день чистим ,но то что бы каждый зуб вычищать )

И сладости у нас ,мои как и я сладкоежки но МашаАллах1,АльхьамдуьлиЛлах1 проблем с зубами нет ,и то только щас выпал первый зуб и старшего

Мне кажется тут больше генетика ну и не хватка витаминов ,ну и гиена конечно важна

18.05.2023 Нравится Ответить
mmm.25
مارس·Мама троих детей

Это все от сладкого, у старшего была проблема с зубами ,тоже лечили под наркозом, ни так конечно как на фото , но кариес был, все потому что пихали конфеты, сколько бы я не бегала за ним, второй не ест сладкое, больше овощи и фрукты, у него ма ша Аллах1 зубы идеальные

18.05.2023 Нравится Ответить
viktopia303
вика·Мама сына (4 года)

Я не давала ребёнку сладкое, зубам пришёл кабздец к 1,5 году, тут больше болезни мамы во время беременности при зарождении зачатков зубов, плохая гигиена и генетика играют роль

18.05.2023 Нравится Ответить
silos
madi·Мама троих детей

Севоран седация? Какая клиника тоже скажите ?

18.05.2023 Нравится Ответить
blog.makku
Макка·Мама троих детей

Честно что бы сказать я это не знаю , мне объясняли , но я была как во сне и ничего не помню 🤦🏻‍♀️ клиника Аят , у Сабины делали , если что могу инста ее оставить

18.05.2023 Нравится Ответить
amina-1994
Амина ·Мама троих детей

Они делали в Аят значит пропофол. Там только его делают

18.05.2023 Нравится Ответить
liachee
Lch·Мама троих детей

Ваа 😣

18.05.2023 Нравится Ответить
krasotka.de2

Хоть убейте,но я не понимаю как за 3 года можно довести зубы за такого состояния. Часто здесь вижу такое

18.05.2023 Нравится Ответить
liachee
Lch·Мама троих детей

@blog.makku, точно не от сладкого

18.05.2023 Нравится Ответить
liachee
Lch·Мама троих детей

@taisa99_9, ночные кормления тоже не причем мне кажется ,мои постоянно были на ночном кормлении

18.05.2023 Нравится Ответить
amina.miya
Amina·Мама двоих (5 лет, 9 лет)

@roiiyus, я тоже пожалела немного что долго кормила. До 2 свою дочу. У дочи такое же с зубами, сказали бутылочный кариес, молоко вызывает кальций из организма младенца, особенно ночные кормления

19.05.2023 Нравится Ответить
roiiana
Roiiana·Мама дочки (4 года)

Мамин, вот эти железки уберут же, новые зубки будут там?

18.05.2023 Нравится Ответить
viktopia303
вика·Мама сына (4 года)

@blog.makku лечение 10 зубов и установка 6 коронок обошлась в 2 раза больше чем у вас(

18.05.2023 Нравится Ответить
blog.makku
Макка·Мама троих детей

@viktopia303, я год искала где можно было бы сделать , и в Краснодаре когда нашла , все понравилось , мне посчитали 8 Зубов в 162 тысяч и плюс если и с остальные зубы придется сделать и т д на все зубы что бы якобы сюрпризов потом не было посчитали 280 тысяч 🙄🤦🏻‍♀️ в итоге нашла в Махачкале , правда мне примерную стоимость на двоих посчитали 60 а там уже сюрпризом 60 вышло на одного 😅 но я знала что так будет

18.05.2023 Нравится Ответить
viktopia303
вика·Мама сына (4 года)

@blog.makku ну мы отзывы почитали, и обратились, успели спасти всё зубы, а то на верхних уже начальная стадия пульпита была, не было времени тянуть

18.05.2023 Нравится Ответить