



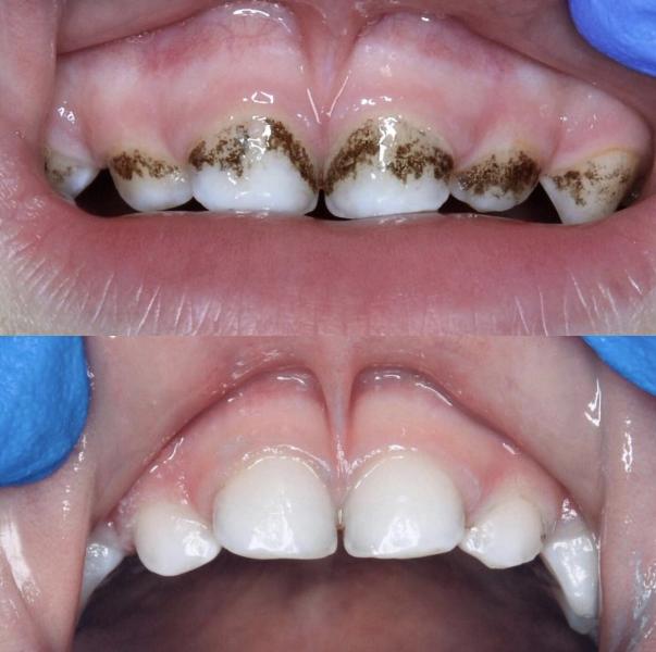
Появление налета Пристли на детских зубах говорит о каком-либо сбое или изменениях в работе организма. Неактивные бактерии, постоянно находящиеся в ротовой полости, начинают размножаться, оставляя после себя заметные визуально следы в виде темных отложений.
Среди наиболее частых провоцирующих факторов отмечают:
🔺 наследственная предрасположенность;
❕сахарный диабет;
🔺 сбои в работе щитовидной железы;
❕ дисбактериоз;
🔺 кариес;
❕ обезвоживание организма;
🔺 нарушения обмена веществ;
❕ нехватка или переизбыток некоторых
🔺 микроэлементов (кальция, железа и других);
❕ снижение иммунитета на фоне ОРВИ и других
🔺 патологических процессов;
❕ патологии эмали (гипоплазия и другие нарушения);
🔺 выраженные проблемы с прикусом;
❕ неудовлетворительная гигиена ротовой полости.
Диагностика налета Пристли на зубах.
Выявление самого налета Пристли у ребенка не представляет затруднений, особенно если отложения находятся на передних зубах. Обычного стоматологического осмотра вполне достаточно для постановки диагноза, однако затем требуется пройти дополнительное обследование. Оно направлено на выявление возможной причины появления патологии. Врач порекомендует сдать анализ на дисбактериоз и кишечных паразитов, оценить уровень сахара и микроэлементов в крови, обратиться к иммунологу и гастроэнтерологу. Для оценки состояния зубов под налетом может быть назначено рентгенологическое обследование и лазерная диагностика.
Вне зависимости от причины появления налета, при его обнаружении нужно отвести ребенка к стоматологу.
Пойду запишу детей на профгигиену