



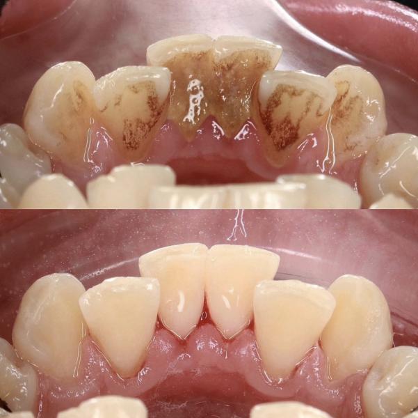
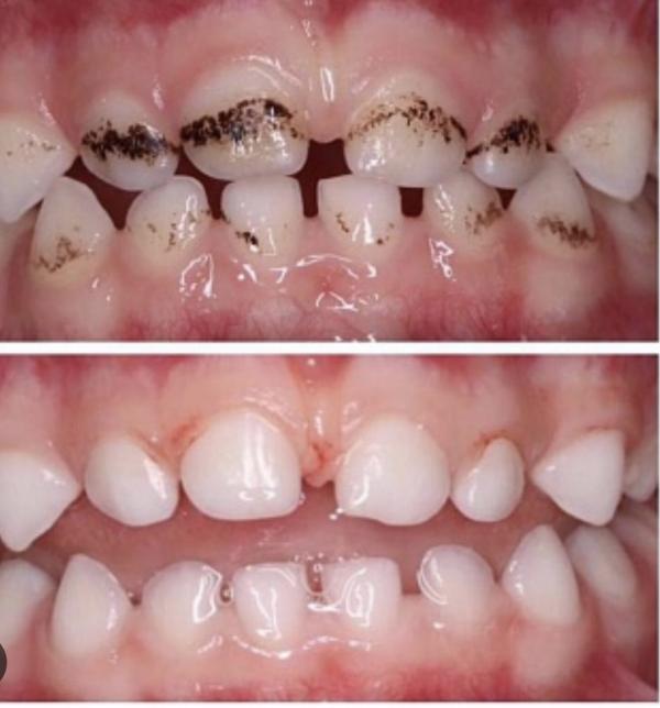
Вот такая красота получается 😍🔥
Комплексная профессиональная гигиена Зубов!!
Хочу немного рассказать что входит в этот комплекс из 4х этапов !!
1️⃣ Удаление твердых зубных отложений ,с помощью специального ультразвукового аппарата ✨
2️⃣ Удаление мягкого зубного налета на зубах и всех зубных промежутках ,аппаратом Kavo Prophyplex 4,который в домашних условиях вы удалить не сможете ✨
3️⃣Полировка Зубов специальной пастой и щеткой 🤩
4️⃣ Нанесение реминерализующего Геля ,для фторирования этали,снижения чувствительности и профилактики кариеса 🦷
А самое главное что ВЕСЬ ЭТОТ КОМПЛЕКС СЕЙЧАС ИДЕТ ПО АКЦИИ всего 2500₽ 🙌😇
Запись по номеру 8928-871-81-30📝
————————-
Хасавюрт «Семейная стоматология»


