


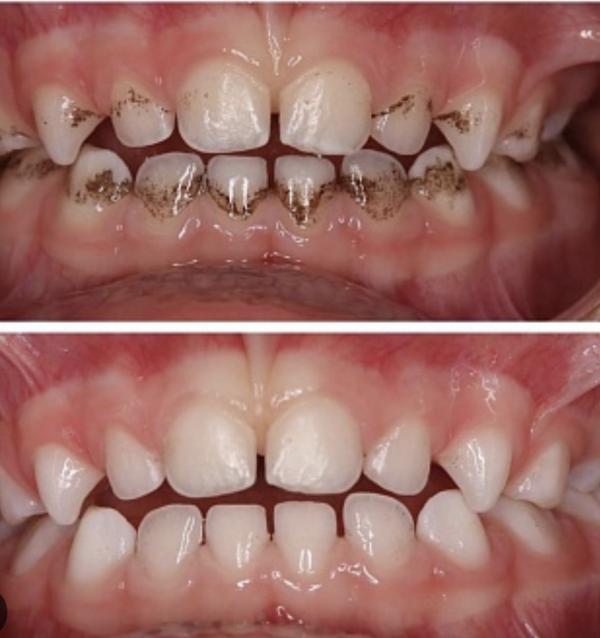
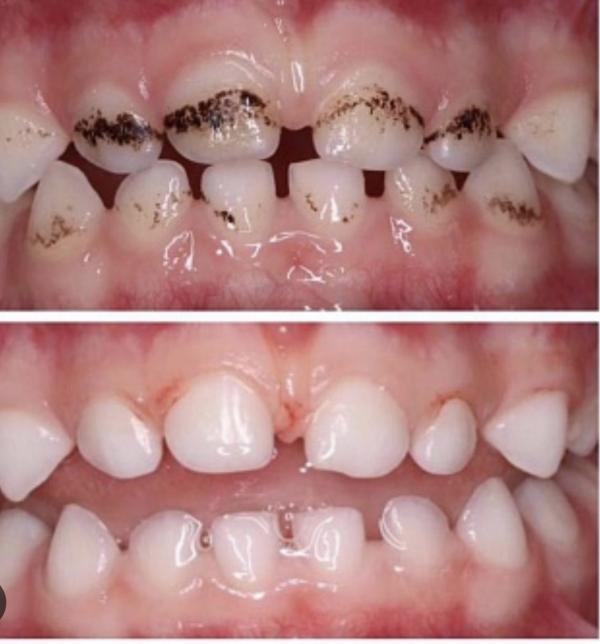
Удаление налета Пристли у детей 🔥



Здравствуйте 🌺
Процедура не имеет болезненных ощущений . Это метод очистке зубов от налета и зубных отложений при помощи «воздушного» потока (вода+спец порошок) без непосредственного контакта каких-либо твердых предметов с поверхностью зуба. Лечебная смесь быстро и безболезненно удаляет бактерии, мягкий налет и зубные отложения на видимых поверхностях и между поверхностями зубов. При этом эмаль зуба не повреждается.
Стоимость чистки у детей 2500₽
Взрослых 3 тыс₽
Здравствуйте,г Хасавюрт ул Грозненская 90 « Семейная стоматология»
Сколько стоит процедура? Это не болезненно ?