





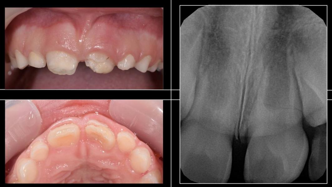
Девочке 7 лет.
Около 6 дней до обращения к нам, упала в бассейне и получила травму, ударившись зубами о кафель.
Диагноз: коронково- корневой перелом 21.
Было принято решение об аутотрансплантации
63➡21
Т.к. зуб к сожалению, уже нельзя было спасти (зуб сломался ниже уровня кости, а аутотрансплантация позволяет сохранить кость и восстановить эстетику).
⠀
✔В нашем случае донором стал молочный клык, которые мы "забрали" раньше чем он бы выпал естественным путем.
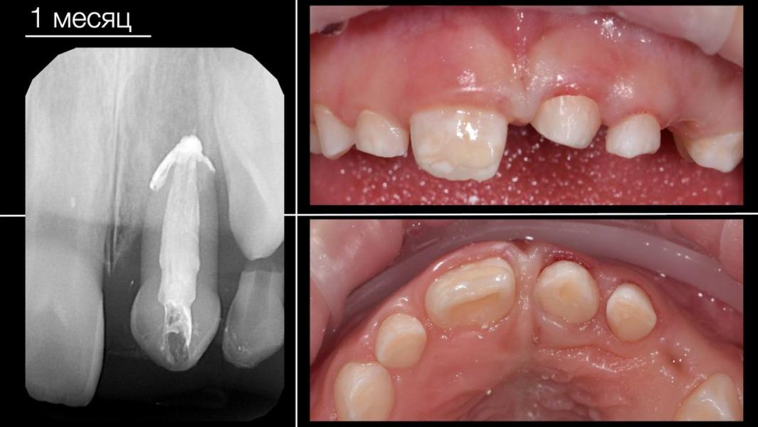
Ребенок счастлив и улыбается)
⠀
❗Что такое аутотрансплантация - это метод пересадки собственного зуба (донора) на место отсутствующего зуба у одного и того же человека.
⠀
Почему аутотрансплантация?
Какие "➕" и "➖"?
⠀
🔹по статистике у детей и подростков успех аутотрансплантации составляет 98%, у взрослых 94%.
🔹операция более бюджетная по сравнению с классической имплантацией.
🔹нет ограничений по возрасту, можно проводить как детям так и взрослым (имплантация проводится только взрослым).
🔹срок реабилитации меньше - полноценно жевать зубом можно уже через месяц.
🔹нет необходимости наращивать костную ткань! Возле трансплантированных зубов она растет сама.
🔹работать с десной (при недостатке объема) также не нужно.
🔹все же это собственный зуб и полноценный орган.
⠀
Если говорить о недостатках, то здесь есть ограничения:
⠀
🔸не рекомендуется пересаживать зуб в ту область где уже давно нет зуба. Это касается взрослых пациентов.
🔸не всегда есть подходящие зубы для трансплантации.
⠀⠀
На протяжении последних 7-ти лет в нашей
клинике уже проведено более 150 таких
операций
Тема объемная и интересная. Если есть
вопросы, пишите, с удовольствием
поотвечаем.
А в этой работе была команда 5 :
Хирургия: Новомирский Р.А.
Эндодонтия: Тимошенко О.А.
Реставрация: Тишкина О.С.
———————————————
Подписывайтесь @iceberg.dental
🏆ЭКСПЕРТ #1 ПО ТРАВМАМ ЗУБОВ
🏆В ТОП-5 рейтинга России
👨👩👧👦Лечение детей и взрослых
🆘+7-499-951-03-03
🔥Горячая линия 24/7, первая помощь
⬇️WA конс.бесплатно⬇️
+7-968-599-98-14
Адрес клиники:
г. Москва, ул. Щукинская д.2.
———————————————