





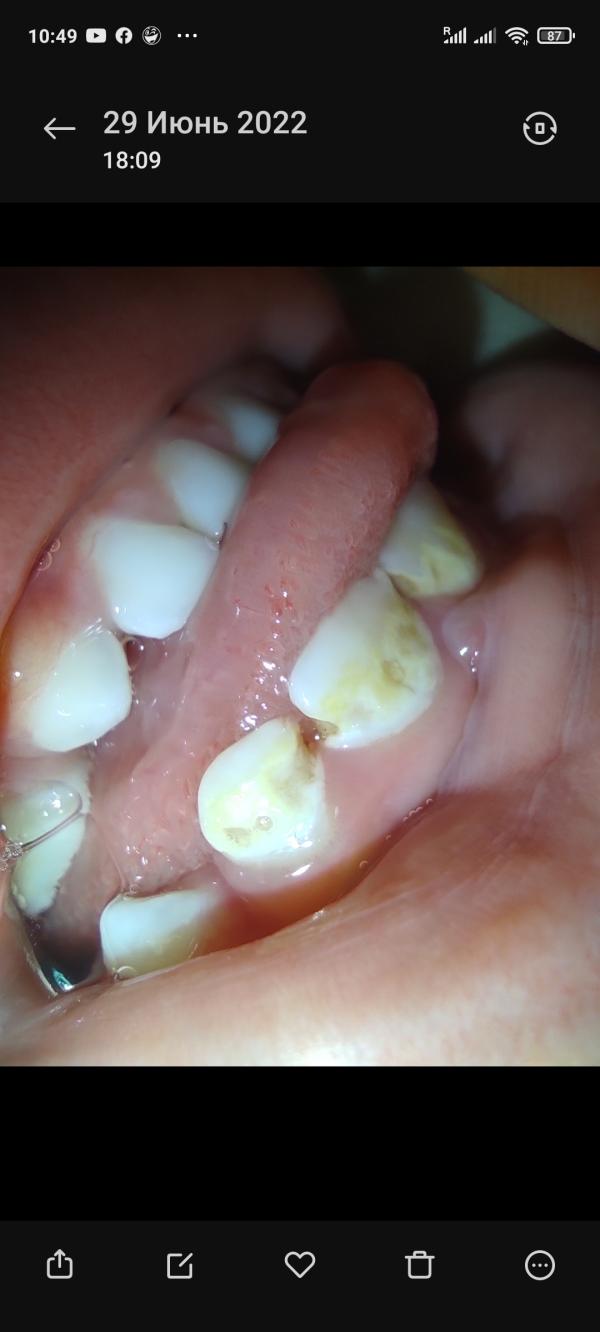
Фото прикрепряю(смотрите дату с какой скоростью портятся зубки)
Девочки, помогите, может у кого-то было такое, или кто-то из вас знает детского стоматолога, который может проконсультировать онлайн. Мы уехали из Украины, и у ребёнка начались проблемы с зубами..
Они становились жёлтые, фото буду прикреплять. Тут стоматологи говорят очень разные предположения. То флюороз, то кариез, я не знаю что думать и чем лечить. Флюороз - переизбыток фтора(в польше мы купили детскую зубную пасту, в составе был фтор, он предотвращает кариез), Кариез - сказали что начальная стадия, зубки портятся из-за того что грудное молоко остаётся под губой, лечить сказали так:"чаще чистить зубки пастой с ФТОРОМ"
У меня патовая ситуация, 2 варианта, один из них - убьёт зубы. Но это малость моих проблем уже. Вчера вечером мы пошли в детскую комнату, дети играли, и Милош ударился зубами об горку, в итоге минус половина переднего зуба. Стоматолога(детского!) в нашем городе нет, только в поликлинике(он сказал кариез)
Нужно только ждать понедельника и ехать в другой город. Я целый день реву. За что ему такое с зубками, где я сделала ошибку..



А головне - не винить себе. Всі діти різні. Це молочні зуби. Наша задача 1) закласти основи правильної гігієни
2) не зіпсувати постійні зуби.
Розумію Ваш розпач - у старшої карієс на всіх жувальних зубах і гіпоплазія емалі від народження на передньому…
Карієс там теж може бути, але як на мене (не стоматолог!), то нетипова картина. Але ми всі індивідуальні.
Ось акаунти стоматологів, за якими я слідкую. Можливо, у них знайдете такі ситуації. А до стоматолога зі зламаним зубом бажано потрапити на лікування/реставрацію ((
ссылка
ссылка
ссылка
ссылка
ссылка
ссылка
ссылка
ссылка может что то подскажет, очень хороший стоматолог❤️
Мы лечили в Польше когда была ситуация как на первом фото, сказали кариес в начальной стадии