

Чилим в саду)))Как хорошо в частном доме, когда малышка почти весь день на свежем воздухе!


Девочки ... это треш 🥲🥲🥲.
Теперь От слов «Зубы все равно молочные и они выпадут» у меня глаз дергается ☹️👁👁.
Я согласна что они выпадут , но выпадают они в своё время !!!
У каждого зуба своё место , свое время смены .
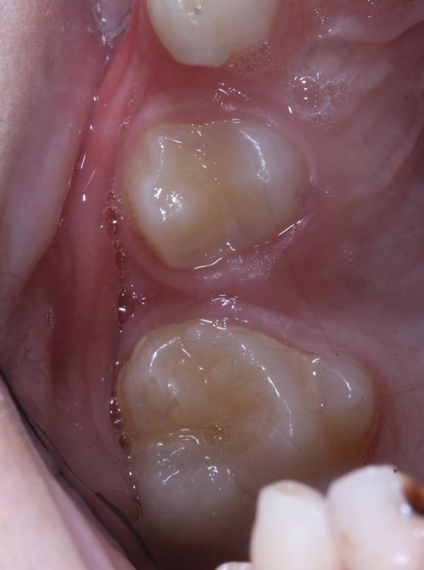
Знаете чем оборачиваются безобидные удаления зубов ???
Патологиями прикуса , бесконтрольным смещением 👣соседних зубов в сторону беззубого пространства 🦷.
Как это происходит ??
На втором фото один зуб занял место предназначенное для двух зубов (т.е один зуб остался в кости...

Как полгода искали вторую вакцину менактры.
Вдруг будет полезно!😉
Писала в Минздрав в октябре, первая прививка была поставлена в ноябре (на момент прививки дочери был 1год 6 месяцев). Прошло уже полгода, на вторую прививку не приглашают, поскольку говорят, что на мою дочь вакцина не приходила. Если была одобрена вакцина, то по возрасту ее необходимо поставить дважды.
Вуаля
В ПЯТНИЦУ написала повторно в Минздрав, во ВТОРНИК нам поставили вторую вакцину! Нашлась оказывается🤦♀️😂
#менактрадетямбеспл...






Девочки, от сердца отрываю вам эти карточки🎴
Это карты на запуск речь 0+
Купила всего за 160 рублей такой набор! Это просто даром😀
И еще огромный + этих карточек в том, что там показывают лишь фрукты без всяких лишних рисунков на картинке фрукта.
Не рекомендую покупать такие карточки.
Покупайте только те, что без лишнего изображены.
Карточки с лишними изображениями отвлекают ребенка от основной задачи.
Оставлю ссылку на эти карточки 👇🏻
ссылка