Разият
razika_stomatolog
Разият·Мама двоих (8 лет, 11 лет)

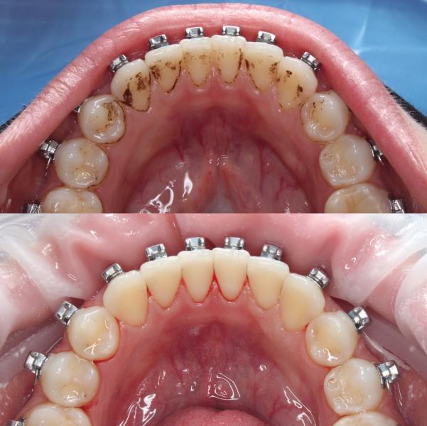
Чистка зубов в 3 этапа для брекетоносцев: мой опыт

post image

Для брекетоносцев, кажется у меня здесь были они) Очередной результат чистки зубов в 3 этапа.

3

Комментарии

razika_stomatolog
Разият·Мама двоих (8 лет, 11 лет)

Еще хочу сказать немного о профилактике ношения брекет-систем:

1. Регулярная проф.гигиена раз в полгода

2.Использование ирригатора

3.Использования ёршиков для чистки в брекетах

В данном случае мы сняли дуги и провели чистку. Можно это сделать и не снимая дугу. Также если у вас по каким-то причинам сломался или треснул ретейнер-его тоже можно заменить.

Нравится Ответить
umm_ali_ahmad
Хадижа♥·Мама двоих (3 года, 5 лет)

Где вы находитесь?

Нравится Ответить
razika_stomatolog
Разият·Мама двоих (8 лет, 11 лет)

Я принимаю на Азиза Алиева 15,г Махачкала. 8-989-457-01-57 для связи

Нравится Ответить