Девочки, может кто сталкивался с повышенной активностью ребёнка во время беременности, что это значит? Что нужно проверить? С 20 недели постоянно в движении, и не просто ручка или ножка, а буквально всем телом выкручивается. Живот гуляет во все стороны. Мне даже ктг уже который раз снять не могут, так как датчик отходит. Хотят положить в стационар. С маленькой дочкой не знаю как это организовать. Хочу проконсультироваться со специалистом, не знаю с кого начать. Моя из жк руками разводит.
Может кто знает, может есть в Москве какие-то встречи для мам, типа как группы для алкоголиков и наркоманов. Только чтобы там ещё наливали. Пришли такие, сели в кружок: здравствуйте, я Таня, у меня трехлетка и я тааааак ЗАЕ****СЬ!….
У меня много подруг с детьми, все устают, жалуются, а потом мы встречаемся и на фоне моего ребёнка их дети ангелы 🤣 ну кроме одной. У неё двое таких как у меня…. Это же пройдёт? У кого были тяжелые трехлетки? Я в слепой надежде, что хотя бы на 50% будет легче, как з...
Девочки беременяшки , какие казусные моменты случались с вами на людях ? 🤦🏼♀️😁
Блин я такая позорница ужас
Недавно закупалась в смоле и болтала по телефону , и чёт резко засмеялась и пукнула нечайно ужаааасссс ещё так громко 🥲😂 и быстро не смотря по сторонам ушла в другой отдел , так ржала потом 😂
А ещё вчера , в детском мире ходила выбирала одежду , чихнула и резко с меня жидкость хлынула из того места представляете , я даже не поняла это была моча или воды 🤦🏼♀️ ( пробка отходит уже пару недель ча...



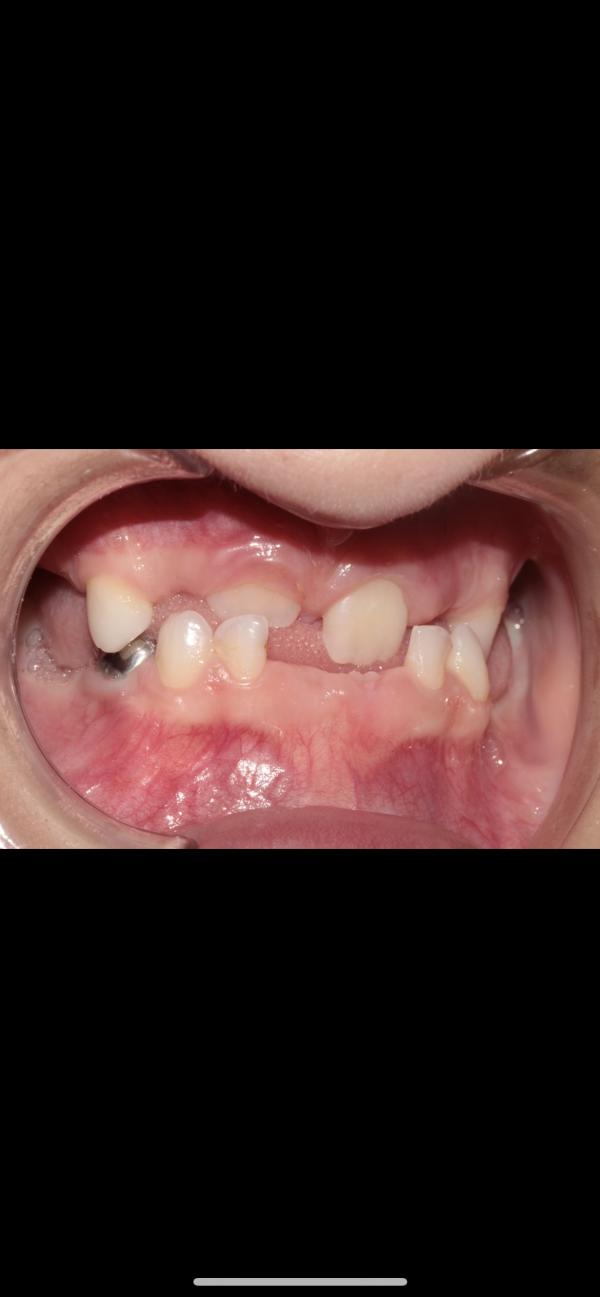
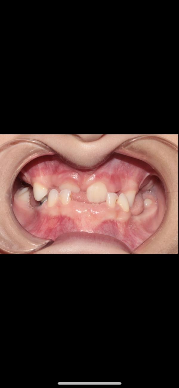
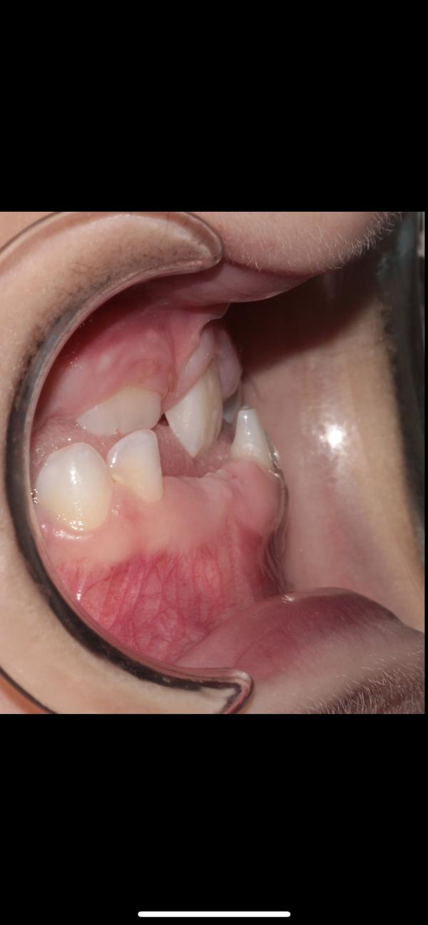
Обещала пост о раннем удаление молочных зубов и как это влияет на прикус,
Выполняю обещание 😹✅.
И так К чему приводит ранее удаление молочных зубов ??
Конечно же к деформации прикуса🤷🏻♀️.
Хочется рассказать вам историю одной пациентки.
Ребёнку🐣 было удалено множество зубов , рекомендовали посещать ортодонта и следить за развитием прикуса , к сожалению пациенты запоздали с приемом и спустя пол года ⏱после удаления у ребёнка развился мезиальный прикус.
Если вам все ещё кажется что молочные🦷...
наверное в первую очередь исключить гипоксию