
Просто мои зубы😭😭
Хочется постоянно делиться своим счастьем
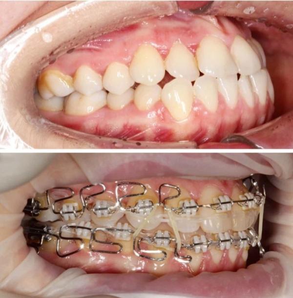
Зубы до на 1 фото
После, перед снятием на 2



У вас норм зубы , у меня вообще как у первоклашки 🤦♀️ хочу вообще все зубы удалить и поставить новые )
У меня это прировнялись. До этого жесть что было
Супер, многопетлевая техника и эластики. Скажите у кого ставили?
@akosya77 я не знаю . Надо у него самого узнать
Фото спрятали бы хотя бы в комментариях))как то в шоке уже зубы выставляют 😂😅
Вдруг кто то сидит кушает и листает ленту
@dikosha_082, на одну челюсть?! Долго ходили с брекетами ?
Так поняла это для исправления прикуса, долго с железкой ходили? Они как брекеты?