

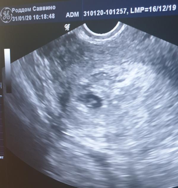
Печально, конечно ........ осознавать, что ты сделала, всё что было возможно, но видно как Богу угодно🙏🤦🏻♀️ Поступила в четверг 30.01, с мажущими выделениями (дома розового, в больнице уже коричневого цвета). На следующий день кровь, моча, уколы, таблетки, УЗИ ( плодное яйцо 12мм, эмбрион вроде есть,но плохо визуализируется, он к слову сказать расположен в верхнем правом углу матки и узистка,нервно водила датчиком о все время орала....ничего не вижу....нет чёткости.....не вижу....давила на живот сверху,чтобы он как то отразился в датчике🙄🤦🏻♀️потом опять орала не вижу.....) с этими словами, меня оставили в роддоме до понедельника,сказав что по сроку уже должно быть чёткое очертание эмбриона, пусть и пока без сердцебиения, которое тоже уже должно быть 🤔 назначили контрольное узи на понедельник. Между тем,мазня никак не собиралась проходить, могло пол дня быть чисто, а потом под вечер мазнуть алым пятном, после которого начиналась коричневая мазня,к слову это происходило раз в 2 дня и имело какую-то цикличность, я знала,что сейчас почти закончилось....жди новый мазок🤦🏻♀️✌так и было. В понедельник делала узи,всё таже орущая невростичка, она даже толком не смогла ничего изменить, сказала лишь, что размеры плодного яйца такие же, эмбрион не визуализируется, серцебиения нет, плодное яйцо деформировано.......диагноз..... неразвивающаяся беременность👏👏👏 рекомендована чистка с удалением плодного яйца из матки👏 врач предложила вакуум. Я написала отказ. Меня оставили в больнице на 3 дня, завтра еще одно контрольное узи, по результатам которого уже точно сомнений не будет видимо не у кого🤦🏻♀️ну конечно, я ищу положительные стороны в этой беременности, но блядь с каждым днём 🤦🏻♀️головой понимаю, что дело труба🤦🏻♀️и видимо этому малышу не суждено родиться в нашей семье 🙏от этого мне ещё хуже и морально и физически, я уже реально очень истощена,не хочу никого не видеть, не слышать, не говорить🤦🏻♀️😰 Ну и что я имею...... Мазня не проходит, дюфастон в лошадиной дозе уже🤦🏻♀️, 2 дня тянет и побаливает правый бок (а там как раз прикрипление), боли схваткообразные, хгч вчера взяли,но готово будет завтра (но на него врач сказала особо не полагаться,хгч при неразвивайке растёт нормально), эмбрион на таком сроке не видно, хотя должно быть👆 Муж сказал, держись, Бог даст,если получится может ещё родим🙏жалко,ну а что делать! Конечно я опять надеюсь на чудо,вдруг завтра 💗забьется,ну или в размерах подрастёт, или визуализация будет эмбриона🙏ну мало ли. Если нет, то вакуум🙏😥🤦🏻♀️ сил больше нет.

Поборитесь до последнего! Мазня не однозначный признак неразвивающейся беременности. Это может выходить гематома. Надо отлежаться неделю, дней 10. И потом только смотреть. Врачи, как всегда порят горячку. Скорее вычистить. А почитайте, сколько ошибок происходит. И в итоге сердцебиение появляется. Просто в этом деле не нужно спешить. Дюфастон и постельный режим. А потом дней через 10 Узи в разных местах. Я 4 сделала, чтобы убедиться, что точно замершая. И то, до сих пор иногда мысль пробегает, надо было ещё подождать.

Помню как у меня 1 беременность была замёрзшей и тоже пошла коричневая кровь... и когда приехала в больницу из меня сразу вышло плодное яйцо с эмбрионом... про мое моральное состояние ничего не сказать было на тот момент.
Держитесь🙏 дай Бог, что бы у вас все было хорошо🙏

Сходите на нормальное узи, чтоб потом не жалеть. Мало ли что она там намеряла. У нас в больнице узи плохое, отправляди отдкльно на другое узи на котором все видно.

А почему вы в нормальное узи не съездите ? У меня мазня была две недели ! Итог - гематома ! Которая вышла к 9 неделе . Узи мне на таком сроке делали в платной не по животу , чтобы все видно было .

У меня первая Б была замершая, и первый признак как раз был хгч,потому что оно падало стремительно.

На фото ваше узи?
Может стоит проверить трансвагигально и платно?
Я с 1 зб до последнего верила, но увы...

@ylua_mom2020 этот он был такой неделю назад, он должен как минимум расти хоть немного, он не растёт. На узи в понедельник его размеры были такие же, что и в пятницу, а так быть не модет и не должно

@vikos2015 ааа...извините, может что то недопоняла...
Сил Вам. Самп через это прошла и понимаю как вам сейчас больно.

Я не понимаю, врачей почему сразу при поступлении хгч не взяли? Транексам пьёте?

Очень хочется вас поддержать. 5 дней назад мне сделали чистку. Поступила с розовыми выделениями. По узи срок был 5 нед, по месячным 8. Контрольное узи через 2 дня, и врач точно подтверждает зб( уколы ношпы и кровоостанавливающих не помогали, цвет выделений сменился на темно коричневый а потом уже и алый. При обходе врача сомнений не оставалось - выскребание. Обидно до слез, с мужем так ждём первенца. И не получилось. Морально ещё тяжеловато, нагнала себе точку-печать.

Всё тоже самое,что вы описали🤦🏻♀️🙏это так тяжело, держитесь, Боженька даст нам еще малышей🙏

Держитесь 🙌Дай Бог даст положительное узи , меньше нервничайте это сейчас очень важно.

Если ничего не изменится , то так Богу угодно... Все у вас впереди , все будет ...

У меня зб была год назад. Прекрасно вас понимаю. Но если уж вас кто то сверху выбрал мамой, то это обязательно случится! Просто в следующий раз 🙏🙏🙏🙏 Крепитесь

До 12 недель 3 сохранения с кровотечением, каждый раз я сильно верила и результату уже 6 месяцев , кстати сердце забилось у нас 7-8 недель. Желаю Вам чтобы все было хорошо!) верьте ! Я знаю как врачи разговаривают, не обнадеживают специально. Мне сама заведующая отделением пожимала плечами и говорила : сами понимаете, срок маленький, особо не на что надеяться. Но все же!

Мне моя врач которая крестная моего сына, человек которому не пофиг, говорила что до 12 недель естественный отбор и если почему то не срослось до этого срока, значит организм сам знает почему, генетически знает и так лучше. Это сложно принять во время беременности и когда надеешься что все хорошо, но она не просто так говорит, она знает. И просила меня не расстраиваться если так случиться. Передаю вам ее слова с наилучшими пожеланиями в будущем и что бы ваш малыш обязательно у вас родился!

@ket1.85 муж меня уже ругал🤦🏻♀️вот это ты....ты всем растрещала🤦🏻♀️и мамам и дрегим🤦🏻♀️😥поэтому так вышло

@vikos2015 не слушайте вы его..... У них у мужиков тоже тараканов в голове полно... У вас есть уже детишки, значит и ещё будет.. Сыночек скорее всего, раз две доченьки есть... Они наши мужики переживают побольше нас, только мы показываем, а они нет... Вам сейчас тяжелее чем ему. Ему вас не понять... А так правильно говорят. Лучше уж сейчас на маленьком сроке, чем на более большом... Всё получится у вас, вот увидите

Лучше показаться ещё другому врачу, предпринять действия всегда успеете, но лучше перепроверить 🙏

Моя гинеколог,который независимо от больницы наюлюдаюсь, я у нее узи тоже делала неделю назад, сказала что картина по симптомам вся не развивающейся, как бы мне это тяжело не было принять, сказала смотри, но я бы на твоём месте согласилась на вакуум, хорошего мало

Мне на сроке 5 недель делали по животу и все было видно. На 7 неделях тоже через живот все увидели. Сказали что так рано не надо туда лезть

@s.mir не знаю, может быть у всех по разному🤔🙄возможно у меня где-то в углу, поэтому датчик недобивает или что там у них хз

@_miss_k против плохой симптоматики не попрешь🤦🏻♀️нужен здоровый малыш🙏
Мне когда такое сказали я месяц ждала, потом Маня началась и уже тогда убедившись сделали вакуум.