
#спрашивали_отвечаем
Несколько человек просили рассказать про клиновидные дефекты. Окей, попробую.
Тема непростая, на самом деле, даже специалисты спорят о причинах их возникновения.
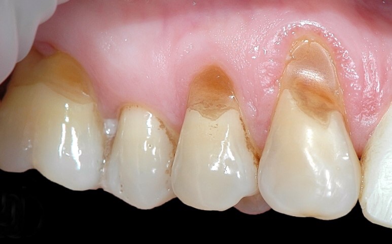
Что это такое? Ну, собственно, дефект в виде клина в пришеечной области, некариозное повреждение эмали и дентина. Почему именно такая форма? - по структуре эмаль состоит из множества призм, в пришеечной области она наиболее тонкая и слабая (потому что корень эмалью не покрыт, и соответственно к краю десны она сходит на нет). При перегрузке зуба зуб как бы «гнется» в области шейки (естественно, это микродвижения, вы их не замечаете), она начинает выкрашиваться, и образуется клиновидный дефект, как будто зуб «бобер погрыз».
От чего возникает перегрузка?
1. И мое любимое - неправильный прикус. Причём достаточно даже незначительной патологии, например, прямой прикус, когда зубы смыкаются стык в стык
2. Отсутствующие зубы. Рядом с дефектом зубного ряда 90%, что он возникнет (самое частое - на 5ках рядом с удаленной 6кой). Конечно, не сразу, клиновидные растут годами, это вам не кариес, при клиновидных эмаль только уплотняется
3. Стираемость. То есть зуб стирается не только по жевательной поверхности, но и в области пришейки
4. Короткие уздечки. Они тянут десну вниз, оголяется корень и образуется клиновидный
Другие причины клиновидных: неправильная чистка зубов (слишком жесткая щетка, особенно этим грешат электрические, туда же отнесу слишком абразивные «отбеливающие» пасты) - эмаль попросту стирается, обилие кислой пищи, гастрит с повышенной кислотностью, гормональные проблемы (щитовидка), бруксизм.
Чем опасны клиновидные дефекты: повышенная чувствительность зубов, а если они чересчур углубятся - зуб может просто сломаться! - надеюсь, механизм понятен?!
Что делать? Ну, что, пломбы ставить! Но сразу скажу, держатся они плохо (так как эмаль уплотнилась, плохо поддается протравке), лет 5 как максимум. Лайфхак, как им продлить жизнь: раз в полгода ходить к своему врачу и их повторно пришлифовывать. Еще очень важно, чтобы врач ставил качественные пломбы, а не с нависающими краями (как 90% делает, уух, меня прям это бесит🤦♀️, ну чо, так трудно заполировать в ноль??? От этих нависающих потом вся десна воспалена, запах, зубные отложения, отвратительно!), ну и в цвет важно попадать, все-таки эстетика! Клиновидным чаще всего подвержены 4 и 5, иногда клыки, единицы и двойки, только в запущенных случаях моляры, то есть это все в зоне улыбки. Кстати, что все пломбы из клиновидных тут же вылетают - это миф, созданный недобросовестными стоматологами🤷♀️.
Кто больше всего страдает: люди за 40 (редко, когда раньше), с 25 - те, у кого явные ортодонтические проблемы.
Пломбы, к сожалению, не спасают от того, что клиновидные углубляются🤷♀️, через н-ное количество лет приходится выпиливать и ставить новые🤷♀️. И коронки не спасают, они прекрасно и под коронками растут. А вот что спасает: ортодонтия и гингивопластика. Но для большинства это долго и дорого. Ну, и негарантированно🤷♀️. Поэтому в большинстве случаев просто пломбируем, стараясь это сделать максимально качественно.
Надеюсь, ответила
#про_клиновидные
Всегда ваш
#стоматолог_в_декрете 🌸
@pollin_e спасибо большое.. Вот я и думаю, зубам моим тесновато, в детстве брекеты не поставили, тк маме сказали, что эмаль тонкая 😕 сейчас же появился деффект, моя врач говорит, что ничего не надо делать, а брекеты не известно сделают ли лучше.. Поэтому я вся в сомнениях.. А скажите можно ли в принципе использовать каппы элайнеры вместо брекетов? Или это не так эффективно?)
@tatianapakleus, можно, в большинстве ситуаций они равно эффективны. Но насчёт «неизвестно сделают ли лучше» - что каппы, что брекеты одинаково. Надо смотреть в каждой конкретной ситуации и взвешивать все за и против
@pollin_e спасибо большое) может знаете своих коллег в новосибирске? Можете кого то посоветовать?
Здравствуйте! Спасибо большое за пост! Подскажите, вы пишете про короткую уздечку, что она является одной из причин этого дефекта. А вы можете ее подрезать на осмотре? Одному моему знакомому так и сделали, но у него было опущение десны только, сказали, с этим связано. У меня тоже опущение, а дефект не в пришеечной области, а прямо по центру 4х передних зубов...вот думаю уздечку подрезать ..
@pollin_e я про себя 😁😁😁 мужу сестры недавно подрезали уздечку, сказали, так десны не продолжат опускаться. Мои тоже год от года все больше опускаются.. и эрозии на эмали начали появляться лет 7 назад
@pollin_e а чтобы на прием попасть к вам, как записаться?
@ole4ka_88, ну, я вас не видела, сказать конкретно надо ортодонтическое лечение или нет я не могу
А у меня с прикусом норм, но тетрациклининовая эмаль 🙁 а вот с 20-ти ещё и эта дрянь полезла 😣
Ну, это и от того, что нарушена структура эмали
Мне так на передние зубы поставили пломбы, спустя несколько лет пошла полировать, так как неровный цвет был, стоматолог сказал, не нужно было пломбы соглашаться делать, тоже было клиновидный дефект, не такой как на фото, совсем чуть чуть
Если совсем чуть-чуть, не беспокоит чувствительность и вас устраивает эстетика - можно не делать
@pollin_e, я к сожалению сделала, так как врач сказал только пломбы ((( в пришла я из за того что была сильная чувствительность.
@irishka_1103, ну если чувствительность- какие ещё вопросы! Все вы правильно сделали! Интересно, что вы должны были ходить с перекошенным от боли лицом?!🤔
Спасибо за полезные советы. Клиновидный дефект - это моя печаль ☹️
Я поставила брекеты и через полтора года на клыках появились дефекты эмали у линии с десной ( как на фото) и десна поднялась. Есть ли вероятность, что после снятия брекетов опустится десна и не будет видно этого?
@tatianapakleus, ну если их ещё нет - может и предотвратят🤷♀️
@pollin_e а может и нет?) как у девушки - после установки брекетов появились. Но может они бы и без брекетов появились..
@tatianapakleus, если неграмотное лечение - могут и спровоцировать😞. А может и так бы появились. История не знает сослагательного наклонения 🤷♀️
Подскажите, пожалуйста, где и когда вы принимаете?
У меня после беременности с зубами совсем беда стала, есть больно, яблоко укусить не могу, горячее/холодное/сладкое причиняют жуткую боль..
И, если можно, цену (здесь или в лс, как вам удобнее), мужа подготовить 😂
Марата 29, на клиновидный пломба около 3к стоит
@pollin_e Я не знаю, клиновидные у меня или нет, но есть кариес, вылетели пломбы, камень появился и десна вниз "ушли".
@reylen_sharm, неважно, пришеечный кариес или клиновидный, цена одна
У меня всю жизнь эти штуки, относила брекеты, прикус исправился, но они все равно появляются(
У меня на нескольких зубах пришеечная кариес , и у меня неправильный привкус и отсутствует один зуб, 6 ка внизу , скоро сделаю реставрация тех зубов на которых кариес в корнях. и брекеты , интересно сколько можно ходить с этими зубами ?)
Ну, может и не появятся🤷♀️, не у всех же они🤷♀️
У меня на таких местах реставрация , пока держится 🤷♀️ но появились после двух беременностей ещё на трёх зубах. Коплю деньги (
Копите, что уж там🤷♀️ никуда они не денутся🤷♀️
После чистки после родов обнаружила клиновидный на клыках. Советуют виниры на эти зубы.
Клиновидный - это не показание к винирам🤦♀️😤. В топку такие рекомендации
Тоже после родов обнаружила, интересно - это как то связано?
@tatianapakleus, возможно 🤷♀️. Гормональная перестройка организма + убыль кальция из костей/зубов... но надо разбираться в каждом конкретном случае
У меня уже в таком месте раз 5 пломба вылетела( не хочется больше ставить, хотя прям моя проблема.
Надо! Просто надо это сделать нормально
Пост в тему! Спасибо. А что подразумеваете под ортодонтией? Брекеты? Насколько они себя оправдывают в 35 лет?
@dasha_mur, изготовить по слепкам у ортопеда
@pollin_e, благодарю ! Мне почему-то Рокс не подходят, сразу чувствительность повышается, чего нет на другие пасты . Сенситив не пробовала ещё
@yulia_mami, ну попробуйте эту, если честно, я про нее ничего не знаю
Спасибо за статью, лет с 30 пошел это деффект. А как считаете - не поздно ставить брекеты в 32 года? И правда ли что он брекетов по сути никогда не уходят? Что почти всегда на заднюю поверхность зубов одевают проволоку или всегда нужно спать в каппе? Иначе зубы начинают плавать