В продолжении темы о назначении аборта в 12 больнице им.Буянова г.Москвы (тема в профиле, жалобу подавать буду! Об этом позже):
Сегодня была на узи у своего врача. Не ЖК. Моей неразвивающейся беременности 7 недель! И у неё бьется сердце! Мы размером с сантиметр уже 😍 и двигаемся!
Господи, это ни с чем не сравнимое чувство: услышать сердцебиение собственного ребёнка 😍
Да мне вообще до сих пор не верится 🙈 я плакала от счастья❤️
Девочки, всегда доверяйте своему чутью!
Всем море любви и счастья!
Б...
Девочки может кто сталкивался...у ребёнка тёкли сопли ручьём один день,по глупости капала грудным молоком и називином, педиатр конечно за молоко по голове не погладила, потом начал жутко хрюкать, при кормлении, да и вообще по ночам, продолжали просто часто промывать нос и отсасывать сопли разными аспираторами по совету врача, после недели мучений, поехали к лору Давидяну, сказал что 90% аллергия, назначил називин и противоаллергические капли 3 дня, вроде немного получше стало, но сегодня 4 день...

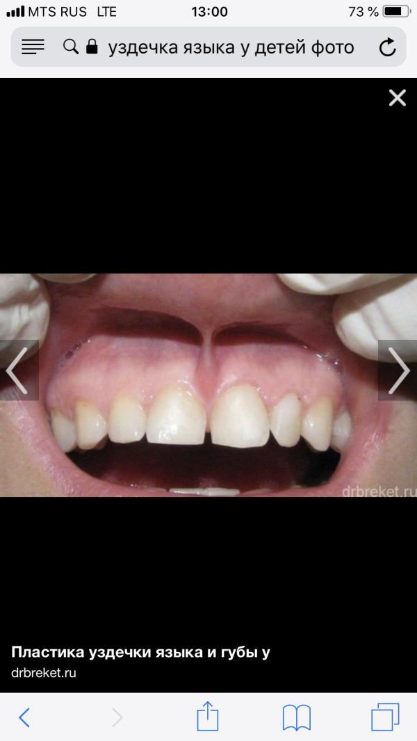
Девочки,привет,сыну 2,9 мне кажется у нас короткая верхняя уздечка над верхними передними зубами,не знаю правильно ли интерпретирую,примерно как на фото,но не один стоматолог нам ее не ставил,ее вообще стоматолог должен см?я сама задалась вопросом только сейчас ,когда со вторым ребенком отправили по комисси в мес и эту уздечку там смотрели!у сына щель между двумя передними зубами,хотя одно воемя я замечала она была ,потом не было,сейчас опять есть ,стоматолог тогда сказал,что как только выстроит...
Вообще это возможно