
Где купить книгу с этим стихотворением? Не могу найти(
ДЯДЯ БОРЯ
Дядя Боря говорит,
Что
От того он так сердит,
Что
Кто-то сбросил со стола
Три тарелки, два котла
И в кастрюлю с молоком
Кинул клещи с молотком;
Может, это серый кот
Виноват,
Или это черный пес
Виноват,
Или это курицы
Залетели с улицы,
Или толстый, как сундук,
Приходил сюда индюк,
Три тарелки, два котла
Сбросил на пол со стола
И в кастрюлю с молоком
Кинул клещи с молотком?
2
Входит дядя в кабинет,
Но и там порядка нет —
Все бумаги на полу,
А чернильница в углу.
3
Дядя Боря говорит,
Что
Оттого он так сердит,
Что
Банку, полную чернил,
Кто-то на пол уронил
И оставил на столе
Деревянный пистолет;
Может, это серый кот
Виноват,
Или это черный пес
Виноват,
Или это курицы
Залетели с улицы,
Или толстый, как сундук,
Приходил сюда индюк,
Банку, полную чернил,
В кабинете уронил
И оставил на столе
Деревянный пистолет?
4
На обои дядя Боря
Поглядел,
И со стула дядя Боря
Полетел.
Стали стены голые,
Стали невеселые —
Все картинки сняты,
Брошены и смяты.
5
Дядя Боря говорит,
Что
Оттого он так сердит,
Что
Все картинки кто-то снял,
Кто-то сбросил их и смял
И повесил дудочку
И складную удочку;
Может, это серый кот
Виноват,
Или это черный пес
Виноват,
Или это курицы
Залетели с улицы,
Или толстый, как сундук,
Приходил сюда индюк
И повесил дудочку
И складную удочку?
6
Дядя Боря говорит:
— Чьи же это вещи?
Дядя Боря говорит:
— Чьи же это клещи?
Дядя Боря говорит:
— Чья же эта дудочка?
Дядя Боря говорит:
— Чья же эта удочка?
7
Убегает серый кот,
Пистолета не берет,
Удирает черный пес,
Отворачивает нос,
Не приходят курицы,
Бегают по улице,
Важный, толстый, как сундук;
Только фыркает индюк,
Не желает удочки,
Не желает дудочки.
А является один
Восьмилетний гражданин,
Восьмилетний гражданин —
Мальчик Петя Бородин.
8
Напечатайте в журнале,
Что
Наконец-то все узнали,
Кто
Три тарелки, два котла
Сбросил на пол со стола
И в кастрюлю с молоком
Кинул клещи с молотком,
Банку, полную чернил,
В кабинете уронил
И оставил на столе
Деревянный пистолет,
Жестяную дудочку
И складную удочку.
Серый кот не виноват,
Нет.
Черный пес не виноват,
Нет.
Не летали курицы
К нам в окошко с улицы,
Даже толстый, как сундук,
Не ходил сюда индюк.
Только Петя Бородин —
Он.
Виноват во всем один
Он.
И об этом самом Пете
Пусть узнают все на свете.
@yushma вроде да. Но ты лучше поищи книжки. Я тут про мишку хотела, она в читай-город на сайте 80 рублей, а в лабиринте почти тысячу.
@yushma мне вот эта прям понравилась. Содержание классное и есть Кто? ссылка
@kopuwa, спасибо, у меня не получалось найти🤷🏻♀️
Видимо руки не оттуда растут 😂

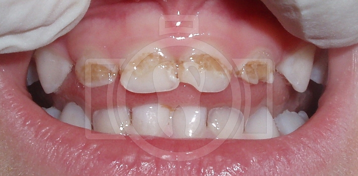
Девочки, мне нужен ваш совет, у кого у деток был такой кариес в возрасте примерно как у нас? 😩
Зубки крошатся, ( фото из интернета, но один в один зубки моей Данаи). Не болят, так как ест всё, но разрушаются😭.
Месяц назад были у стоматолога в Келлер. Предлагали вариант под наркозом лечить, но не настаивали... Предложили пока ждать и смотреть... Сказали возможно и спокойно доходит до того, как они будут меняться... А возможно и болеть начнут.
У кого так было? 😞
Фторирование предлагали ,...
Девочки подскажите пожалуйста,сегодня ночью были судороги в ногах где икры ,до этого уже были говорила врачу,она ничего не сказала типо усталость и все ,а что пить витамины какие ничего не сказала.Но сегодня были прям ужасные ,вся жизнь перед глазами пролетела 😐Тут были посты о том ,что нахватает кальция.У меня лежит Кальцемин вроде его нахваливали ,пропила пару дней ,потом в интернете прочитала что его назначают в основном с 20 по 35 неделю,а у меня 37 недель уже ,вот думаю стоит пить или лучше...
@kopuwa, ого!