
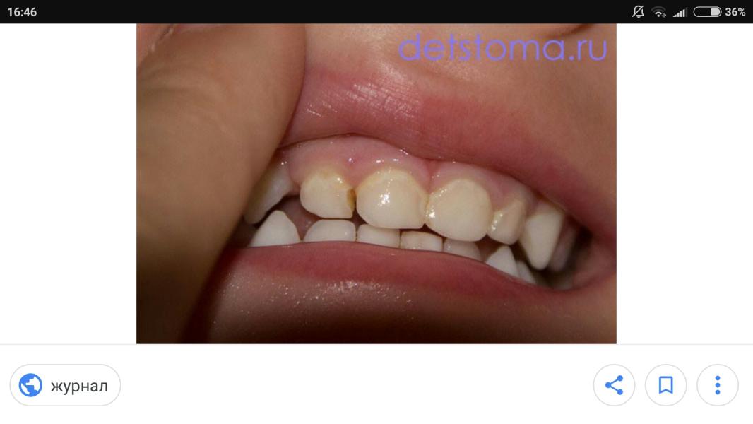
Привет девочки! Моей дочери год и 10 месяцев. На передних, верхних зубах "молочный кариес". Мы были на приёме у врача и нам рекомендовали либо лечение под полным наркозом, либо подождать год, но сказали, что скорее всего через год от зубов ничего не останется. Кто-то лечил? Поделитесь опытом? Сколько денег затратили? Где лечились? (Фото из интернета, но у нас примерно так) я переживаю, что платные стоматологи работают ради денег, а не ради лечения.



@xamelionchiik здравствуйте, напишите пожалуйста клинику
Девы , в Польской клинике про которую здесь пишут сейчас очень удобно сделали электронную запись, не надо писать им письма и ждать ответа , видно в какие дни и во сколько принимает доктор , две недели назад вылечили там дочке зубик 125 злот без наркоза и анастезий...
Нам оооочень понравился Ильин в Апреле, хоть и платный, но не лечит то, что реально не нужно... были тоже и в Эдкарике, и в Эргоденте и в Зубной фее
@ianochkakucher, я долго вчитывалась, но ничего не получилось 😂
@ugeskoro 😂😂😂простите,торопилась)) Щётка фирмы куропрокс,продается в Центроденте! Я ещё ничего не покупала правда,но доверяю врачу
@ianochkakucher, что за название: "детка куропрокс в центробежные?"
@natalianimk, и нам также, а в Апполоннии в принципе не лечат верхние молочные
@vitusbering, согласна, нам за 2 передних насчитали 17 тыс, не плохо да?😀 а там ещё че нибудь найдут и фиг проверишь
Расскажите где в Польше лечите
@anastasijantipova я еще хотела в гос пк сходить. Но там ужас очереди какие... И сказали, что они кариес лечат серебрением и фторированием. От серебрения зуб черный становится - не красиво.
А может еще сходите в клиники детские? Просто Эдкарик - не последняя инстанция. Я тоже с сыном нанервничалась. У него дырка кариозная откудо-то взялась. Записались в Зубную Фею (консультация бесплатная). Решили обработать озоном, потом лазером и поставили пломбу. Типа кариес остановили и закрыли. Держали сына втроем, в рот "лягушку" поставили. Но врач сказал, что еще пару месяцев и был бы пульпит. И вообще они на удержание не работают. Если б было 2 зуба, то он бы и не взялся... Короче свои заморочки. Посоветовал приходить к ним на осмотр каждый месяц, чтобы ребенок привыкал.
@ianochkakucher да, напишите пожалуйста название и щетки и средства
Детка куропрокс в Центробежные вроде продается,она мягенький,не травмирует десна и сами дочищайте ребенку зубки.Сейчас самое главное гигиена
У моей тоже такое,ходила к врачу,она сказала,что ничего нет.Проконсультиртвалась со своим ортадонтом.Она сказала щётку хорошую купить,позже напишу название,чистить круговыми хорошо.И посоветовала средство которое "сдерживает" кариес.Тус мус,она ребенку на ночь в капусту закладывала,за 3 года не ухудшилось,дождаться пока подрастёт,потом лечить
То же самое сказали в Эдкарике, я сходила ещё на приём в Центролент, к детскому врачу. Сказали не торопиться с наркозом, прописали гель, сказали должна проходить до того момента, как даст лечить.
@vitusbering напишите, пожалуйста, где лечите зубы в Польше и как туда записываться
@vitusbering а как рот открывают? Вставляют штуку чтоб не смог закрыть?
У нас были проблемы с другими зубами. Лечить не давали вообще. Пришлось под наркозом общим. Лечили в клинике Апрель, вылечили да, но потом эти зубы начали болеть(воспалялись корни), пришлось удалять некоторые,потом их опять лечили когда дались наконец. одному пришлось два раза побывать под общим. Потом уже лечили под азотом в эдкарике. Сейчас уже так рот открывают.
@vitusbering а контакты пришлёте? А запись какая-то нужна и как с ними связаться?
@vitusbering и как туда попасть? Я имею в виду что нужно для этого. Ведь это другое государство
@vitusbering есть контакты, где вы лечились? Пришлите если не сложно
@xamelionchiik, можно тоже ссылку 🙏