Мясные -Тема, фруктовые - баблук, агуша, фрутоняня, если есть акции то и хайнтс, и гербер. Как-то фруктовые ему всякие нравятся. Овощные не беру, овощи свои, замороженно много было.
Фрукты и офощи бабушкино лукошко,мясо hame и тема,творог и йогурт тоже тема

Всем доброе утро 😁 хочу спросить совета,может кто сталкивался... меня очень беспокоят мои ноги. Ранее это было просто как затекли или тянет слегка. Сейчас перешло в судороги,от коленки по икре до пальцев... пальцы растопыривает тааак,что сил нет терпеть. И все это происходит вечером и ночью,я уже вою... очень боюсь,что такое может произойти днем,а я в дороге или где еще 😣😣😣 была на приеме у Г,сказала. Она мне только от отеков Канефрон,поливитамины и МагнеБ6. Подскажите,что попробовать или к кому...

Девчули, всем привет✋🏻! Скажите, брил ли кто нибудь детишек на лысо в годик? 🤔 Мы не брились! Но ситуация у нас такая! Когда сынок был маленьким, местами волоски вышаркались и на их месте волос потом вылез блондинистого цвета, а остальные волосы у нас русые! Стричься начали с годика, стрижемся раз в месяц; а волос так и остался разного цвета, местами блондин)), вот и в раздумьях я, стричь ли сынулю налысо, что б выровнять цвет волос или в этом нет смысла?! Выровняется ли цвет волос или так и оста...

Девочки, расскажу вам свою историю, может она будет вам полезной.
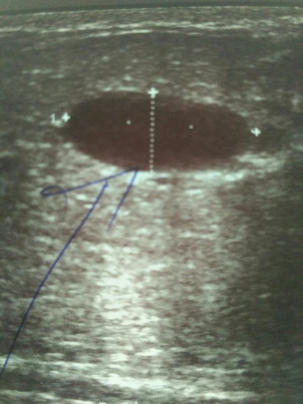
Во время кормления грудью в правой груди появилось уплотнение. Я думала это лактостаз и что дочь всё рассосет. Но не там то было. Пошла на УЗИ, размеры 16*9*15 мм. Отправили к онкологу делать пункцию. Пока неделю ждала результат думала сойду с ума, надумала там уже всего себе. Пришёл результат - это лактоцеле, ничего злокачественного нет, но нужно сворачивать гв и вырезать 'это' чтобы избежать образование раковых клеток. ...
Гербер, фруто-няня