
Vol 15
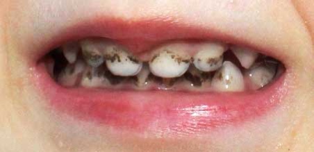
Сегодня на ночь хотела бы вам показать 👻👻👻стрррррашную картинку и немного рассказать о такой проблеме,как налёт Пристли. Наверняка многие родители увидят и поймут,что делать и куда идти!
В случаях, когда детские зубы покрывает темный несчищаемый налет - это повод для родителей в срочном порядке обратиться к врачу.
Такой налет называют "налет Пристли"❗️Чаще всего он образуется при нарушении микрофлоры полости рта и желудочно-кишечного тракта. При этом происходит размножение бактерий, которые являются частью нормальной микрофлоры, однако при чрезмерном размножении, они могут вызывать образование такого налета. Снять такой налет можно только при проведении профессиональной гигиены полости рта. Данная процедура безболезненная и это отличный шанс первый раз "познакомить" ребенка с зубным врачом во время легкой и безболезненной процедуры. Такой визит не оставит никаких негативных впечатлений у ребенка.
Важно иметь ввиду, что "налет Пристли" - симптом нарушений в желудочно-кишечном тракте, появляется при дисбактериозе и других хронических заболеваниях ЖКТ. При возникновении такого налета необходимо произвести комплексное обследование, выявление причин нарушений и назначить соответствующее лечение.
❇️Причины "налета Пристли"
⭕️Дисбактериоз;
⭕️При приеме витаминов и микроэлементов, содержащих медь и/или железо;
⭕️При смене климата (после отдыха на море).
Лечение "налета Пристли" стоит проводить совместно с педитром,гастроэнторологом, рекомендуется повышать иммунную систему организма, снять налет с зубов можно у стоматолога во время профессиональной чистки полости рта.
@mari388 мне тоже после чистки очень некрмфортно. Никакого желания вновь туда идти. Делала у 3 разных врачей.
Нам вот стоматолог сказал, что пока ничего не сделать. Мол надо ждать пока постарше станет. К гастроэнтерологу обратимся, спасибо.
@tanihckabarinova83188, чистка должна быть раз в полгода для всех,может быть чаще по показаниям
@tanihckabarinova83188, вам неграмотно значит сделали,после чистки такого быть недолжно
@tanihckabarinova83188, ой, да ладно, все терпимо, врач знакомый - не есть хороший. После анализов у гинеколога вообще кровит, ничего, ходим, сдаём, следим за собой.
@tanihckabarinova83188, вам так ужасно делали?? Я хожу и норм) сын с пяти лет ходит и тоже прекрасно! Ничего не болит!
@tanihckabarinova83188, да конечно, не ходите, это ж больно, нафик-нафик чистить их
@tanihckabarinova83188, у меня ребёнок ходит через каждые три месяца на проф чистку, никакого дискомфорта она не испытывает, ей нравится
Незнаю девочки мне вот тоже делали чистку .я больше точно не пойду.причем знакомый врач я мотом 2 недели десны лечила все болело
У нас у старшей был черный налет на зубах. В поликлинике бесплатной сказали не страшно и ничего делать не надо.
В платной тоже самое сказали, уточнив, что чистка болезненна и ребенок может возненавидеть врача.
Но всё-таки девочка и хотелось красивую улыбку.
Через некоторое время сменили врача в платной и без проблем сделали чистку.
Было подозрение, что один зубик с кариесом, после чистки подозрение отпало.
Потом через год снова стало появляться немного на паре зубов. Черными точками. Но больше чистить не стали. На всех профосмотрах говорят, что зубы в хорошем состоянии.
У старшей помню как начался дисбактериоз,так вот это все и полезло,только тогда нам никто про это не рассказал🤷♀️,но хорошо что во время обратились к стоматологу,и избежали проблем.Очень полезная информация👌🏻
@mihelson, именно этот -нет. А вообще зубные отложения конечно являются причиной кариеса первоочередной. Всегда пожалуйста 😉
@mari388, ясно, спасибо!) А он в кариес перерастает? Смотрится просто очень жутко(
@mihelson, как сотрудничать начнёт,кто-то в полтора отсидит,а кто-то и в 5 не дастся🤷🏻♀️
@mari388, а с какого возраста можно делать чистку? У друга есть такой налет, хотела бы посоветовать 😬
@vera487, понятие «некомфортно» очень субъективно. Чистка это не спа и не массаж,это медицинская процедура,она вполне терпима🤷🏻♀️но как выше девушка писала про свои десна в клочья,вот такого быть не должно. А порошком под давлением и мне не нравится,когда делают😂