
Фото не мое 🙈
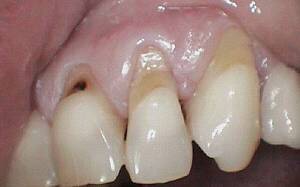
Кто сталкивался с проблемой оголившейся шейки зуба? Где лечили, как, кто помог?! Хелп ми 🙏🏼
@zhanetochka, а вам не сказали они этого? Что вам сказал доктор по этому поводу вообще ? Что это и от чего?
@zhanetochka, ну я имею в виду что запломбировать то запломбируют но это рецессия десны, процесс необратимый она все равно все больше будет просаживаться (((((
@sstase4kaa, бред какой-то... мне сделали без проблем! И что Вам теперь, мучаться от боли?
@zhanetochka, я звонила записываться он по телефону сказал по описаниям что это начальная стадия пародонтоза это возрастные изменения и говорит ничего не сделаешь. А пломбировать возле десны нет смысла там сильно зуб омывается слюной и она не будет держаться
@sstase4kaa, там много причин может быть. В любом случае само не пройдёт, идите к врачу.
@zhanetochka, да и у меня так, прям истерика , раньше не обращала внимания даже, а вам сказали отчего это? Пародонтоза начальная стадия? Я же начиталась уже 😰
@zhanetochka, а на каких зубах у вас? На задних? Или на клыках тоже есть? (Извините если что ))))
@zhanetochka, @mamaleo, девочки, ну что вы вылечили эти зубы с открытыми шейками?? Что сказали врачи ?
@zhanetochka, @ulia2208, у меня не было чистки, а пошло само по себе, ой девы, пойду и я лечить, стать беззубой это страх всей моей жизни🙈
@ulia2208, если б знала, что такое начнётся, то в жизни бы не пошла на эту чистку 😥
@ulia2208 я перед беременностью еще делала. Сейчас наверное цены то подросли.
@zhanetochka правильно камни с зубной эмалью счищают и потом вперед гони бабло
@zhanetochka Ирина Леонидовна..забыла фамилию..дорогое 3 тыщ
Я так понимаю..как пломбы
Моя тема. Первая пломба в 25 лет. а потом пришейки только в путь. Сделала уже 3. Делают как обычный кариес. Цена от 2000 и выше. Еще надо делать.
@ulia2208, а у кого конкретно? Можно фамилию? Дорогое удовольствие? И что именно делает? Пломбирует? Или заплатку из кусочка десны делает?
Да пришеек называется...перед брекетами после чистки камней повылазило...в диамеде лечусь
@mamaleo, это я начиталась в интернете. Сначала зубы начинают шататься, а потом выпадают. Само это не пройдёт. У меня болезненные ощущения от сладкого, и щетку зубную пришлось купить мягкую. Внешне тоже стало заметно, шейки потемнели. Так что пора ноги в руки и к врачу!
@zhanetochka, Ого, а вас прям сильно, что выпадение? Или это в любом случае будет? Надо тогда заняться, меня особо не беспокоит, бывают обострения, что чистить даже не могу, но такое оооочень редко бывает
@mamaleo, и у меня несколько 😔 Грозит выпадение, если не вылечить. Вот закругляюсь с ГВ и хочу срочно лечением заняться.
Я платно делала, что то в районе 1500₽, просто записалась к терапевту показала что беспокоит, она исправила, сам внешний вид пломбировала, я честно не совсем помню подробности , года четыре прошло) но до сих пор с зубом проблем нет, знаю что делают точно, и что там дешевле;)
@sstase4kaa, мне сказали, что неправильно чищу зубы. И надо делать массаж дёсен