
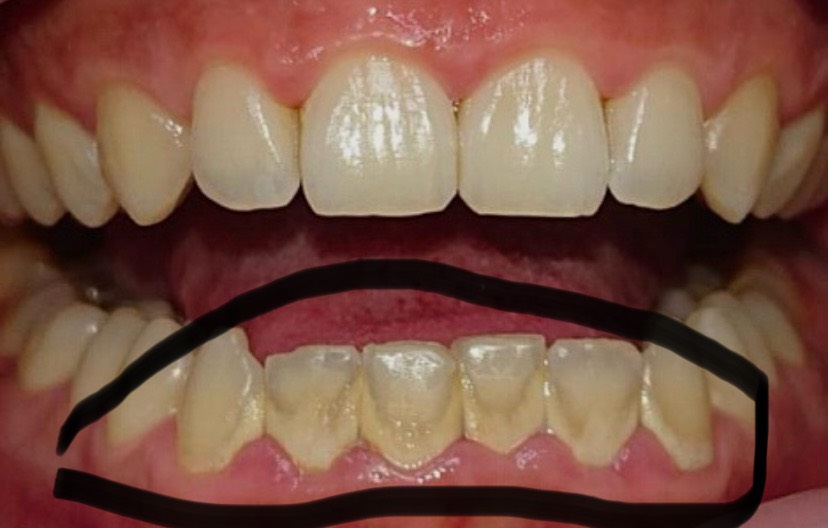
Профессиональная чистка Зубов 2500₽ 🧡
Запись по номеру 89886486800💁🏻♀️
Если не делать проф чистку может привести к образованию зубного налета🦠 и камня,
что провоцирует кариес, воспаление десен (гингивит) и более серьезные заболевания, такие как пародонтит, а также к неприятному запаху изо рта и даже потере зубов.
Недостаточная гигиена 🪥 также может вызвать изменение цвета зубов и повышение их чувствительности.